Introduction
Voir lâabdomen pour dĂ©cider.
Voir lâabdomen pour dĂ©cider.
Du calcul Ă lâobstruction : trier le bĂ©nin du grave
Globe ou obstruction : trancher en urgence.
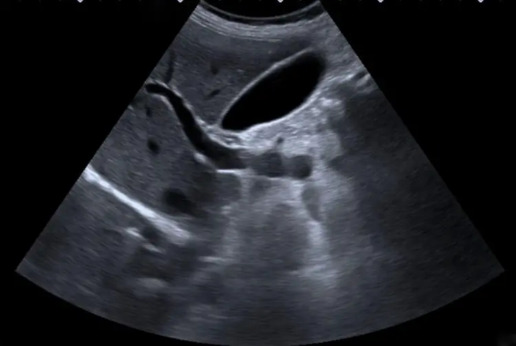
Occlusion : identifier le blocage en urgence.
Appendicite aiguë : diagnostic au lit du patient.
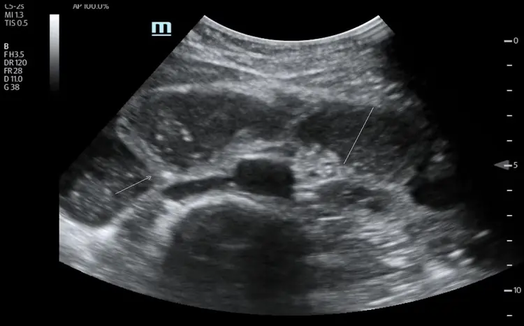
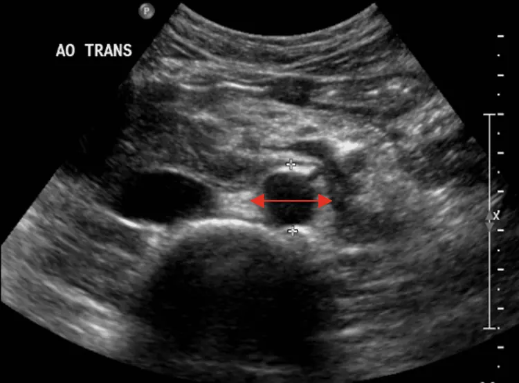
Voir lâaorte avant quâelle ne cĂšde.
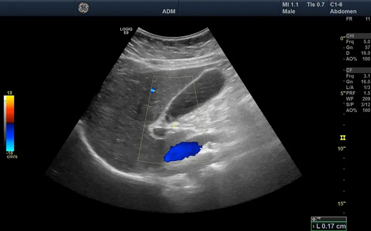
Confirmer la rétention en quelques secondes.