FastTrackers
ECMU
  • Accueil
  • Created by potrace 1.16, written by Peter Selinger 2001-2019
    ECMU
  • Favoris
  • Podcast
Introduction

Introduction

Voir le cœur pour comprendre le choc

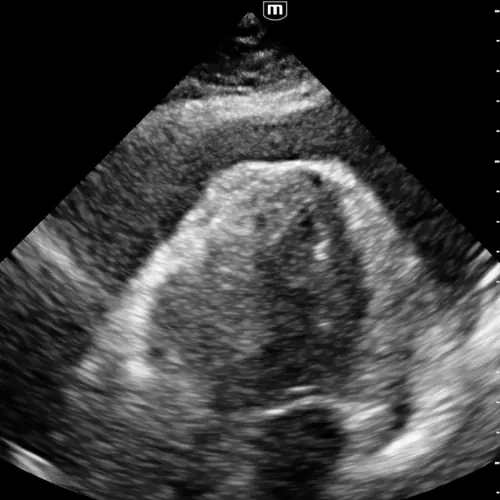
Épanchement péricardique et tamponnade

Épanchement péricardique et tamponnade

Le cœur piégé dans son propre sac

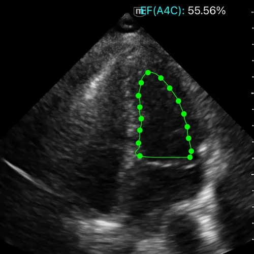
Fonction Systolique du VG

Fonction Systolique du VG

L’œil clinique comme capteur hémodynamique

Dilatation et surcharge du VD

Dilatation et surcharge du VD

Le ventricule droit, baromètre de l’instabilité circulatoire

Fonction diastolique et précharge

Fonction diastolique et précharge

Le remplissage, ou l’art de savoir quand s’arrêter

Valvulopathies – Rétrécissement aortique

Valvulopathies – Rétrécissement aortique

Évaluation échographique aux urgences

Valeurs et seuils

Valeurs et seuils

ECMU Cardiaque