Le cœur piégé dans son propre sac
🎯 Objectif
Reconnaître à l’échographie un épanchement péricardique et en évaluer l’impact hémodynamique, afin de diagnostiquer ou d’écarter une tamponnade, cause réversible mais souvent fatale de choc obstructif.
⚙️ Esprit clinique
La question n’est pas “y a-t-il du liquide ?”, mais “ce liquide empêche-t-il le cœur de se remplir ?”
L’urgentiste cherche donc à :
- identifier le liquide,
- en estimer l’extension,
- en mesurer les conséquences mécaniques.
🧰 Sonde et technique
Utiliser la sonde cardiaque, préréglage Cardiaque, profondeur autour de 15–20 cm.
Lors d’un FAST, on peut utiliser la sonde abdominale (convexe) en sous-xiphoïdien pour rechercher rapidement un épanchement péricardique.
Le gain doit permettre de distinguer nettement les parois hyperéchogènes du myocarde et le liquide noir anéchogène.
🔹 1. Les vues clés
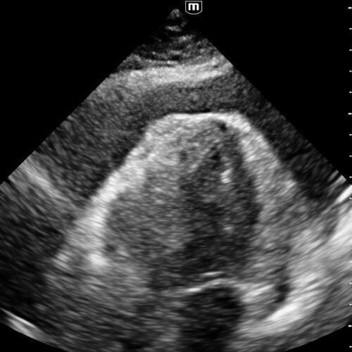
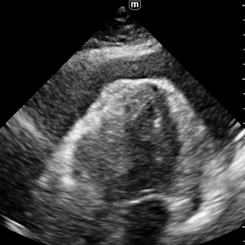
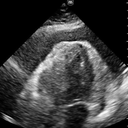
Vue sous-costale
Fenêtre prioritaire chez le patient instable ou en arrêt.
Le liquide apparaît comme une bande noire entourant le cœur, le plus souvent postérieure.
C’est ici que l’on détecte les premiers signes de collapsus du ventricule droit ou de l’oreillette droite.
![]()
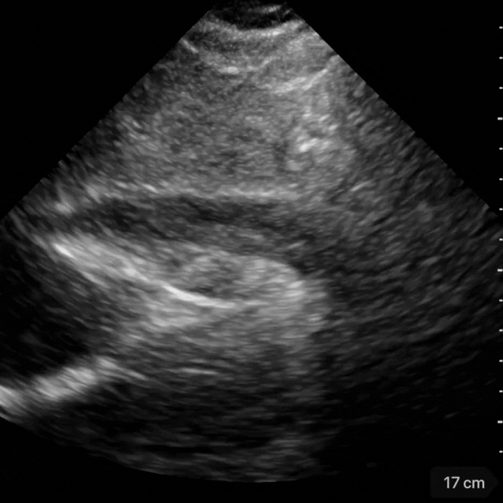
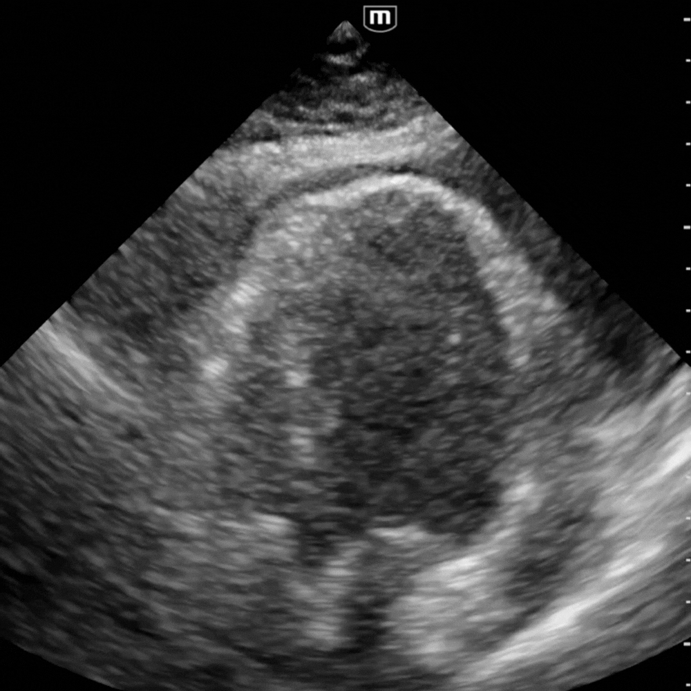
Vue parasternale grand axe
Permet de différencier :
- un épanchement péricardique, entourant tout le cœur,
- d’un épanchement pleural, situé en arrière de l’aorte descendante.
- Idéale pour visualiser le péricarde postérieur et la racine aortique.
![]()
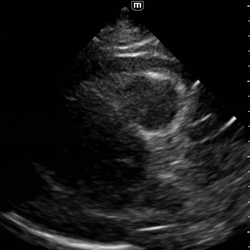
Vue apicale quatre cavités
Montre la circonférence du liquide et le balancement du cœur (“swinging heart”) lorsque le volume est important.
Vue utile pour juger la cinétique globale et confirmer le collapsus diastolique du VD.
![]()
💧 2. Aspect échographique du liquide
Un épanchement apparaît anéchogène ou hypoéchogène, entourant partiellement ou totalement le cœur, mais aussi échogène lorsqu’il s'agit du sang coagulé ou du pus.
- Épanchement circonférentiel : toujours pathologique.
- Localisé : souvent postchirurgical ou cloisonné.
- Strictement postérieur, sans contourner le cœur : évoque plutôt un épanchement pleural.
🫧 3. Signes de tamponnade
Un épanchement devient une tamponnade quand la pression péricardique dépasse la pression diastolique intracardiaque.
Les cavités droites, plus fragiles, s’effondrent en premier.
Signes directs :
- Collapsus diastolique du ventricule droit : la paroi libre s’écrase vers le septum à chaque diastole.
- Collapsus diastolique de l’oreillette droite (signe précoce)
- Balancement global du cœur (“swinging heart”) dans les épanchements massifs.
Signes indirects :
- Stase veineuse : VCI dilatée, peu ou pas collabée.
- Tachycardie persistante, hypotension paradoxale, turgescence jugulaire.
⚙️ 4. Interprétation hémodynamique
Mesurer la lame péricardique toujours en fin de diastole, perpendiculairement au myocarde, sur la coupe où elle apparaît la plus large.
- Épanchement minime : film noir postérieur < 10 mm, sans retentissement.
- Épanchement modéré : entoure partiellement le cœur, mesure 10-15 mm, gêne au remplissage possible.
- Épanchement massif : contourne complètement le cœur, mesure > 15 mm, cœur flottant, collapsus droit net.
La tamponnade vraie associe un liquide circonférentiel, un collapsus diastolique du VD, une VCI dilatée sans variation et un état de choc clinique.
Le volume critique dépend de la vitesse d’installation : 150 mL peuvent suffire s’ils arrivent brutalement ; un litre chronique peut être bien toléré.
🧠 5. Diagnostic différentiel
- Épanchement pleural gauche : en arrière de l’aorte descendante, ne contourne pas le cœur.
- Graisse épicardique : est antérieur, échogène et bouge avec le cœur, tandis que le liquide — anéchogène — se place dans les zones déclives et devient circonférentiel.
- Épanchement loculé postchirurgical : cloisonné, non homogène.
Toujours confronter à la clinique : hypotension, turgescence jugulaire, bruits étouffés — la triade de Beck n’est pas échographique, mais reste un repère.
🔬 6. Physiopathologie simplifiée
Le péricarde, normalement peu extensible, devient une coquille rigide quand il se remplit.
Toutes les pressions diastoliques s’égalent ; le retour veineux chute ; le septum bascule vers le VG à l’inspiration.
Le cœur “flotte” dans son sac et finit asphyxié par sa propre enveloppe.
Le VD, plus mince avec des pressions moins importantes, s’effondre en premier — c’est le signe cardinal de la tamponnade.
⚠️ 7. Pièges fréquents
- Gain excessif → liquide masqué.
- Ventilation mécanique → variations respiratoires inversées, interprétation prudente.
- Épanchement cloisonné → nécessite plusieurs fenêtres.
- Épanchement pleural → ne contourne pas l’aorte descendante.
🩺 Conclusion
L’échographie cardiaque est le test de vérité face à un patient en choc d’origine indéterminée.
Elle distingue en quelques secondes un choc distributif d’une tamponnade à drainer sans délai.
Trois gestes, trois signes, un réflexe vital :
- Collapsus du VD,
- Collapsus de l’OD,
- VCI dilatée et fixe (ou stase veineuse équivalente).

