Voir le cœur pour comprendre le choc
🎯 Objectif
Réaliser en moins d’une minute une évaluation échographique cardiaque ciblée permettant de répondre aux questions fondamentales de la médecine d’urgence :
-
Le patient est-il en choc cardiogénique ?
-
Existe-t-il un tamponnade ?
-
La fonction systolique semble-t-elle très altérée ou conservée ?
-
Signes d’hypovolémie majeure ?
-
Dilatation des cavités droites évocatrice d’embolie pulmonaire massive ?
Cette approche ne remplace pas une échocardiographie complète.
Elle vise à guider la décision clinique immédiate face au choc, à la détresse respiratoire ou à l’arrêt cardiorespiratoire.
🧰 Matériel et préparation
Utiliser la sonde cardiaque avec le préréglage “Cardiaque”.
L’image doit simplement être stable, contrastée et complète.
Le marqueur est orienté selon la convention cardiaque (à droite de l’écran).
Le gel est abondant — c’est lui qui fait la qualité du contact, pas la puissance.
🧍 Position du patient et de l’opérateur
- Patient stable : décubitus dorsal ou léger décubitus latéral gauche avec le bras gauche derriere la tete.
- Patient en choc, intubé ou ventilé : fenêtre sous-costale prioritaire.
- L’opérateur se place idéalement du côté droit du patient, face au thorax.
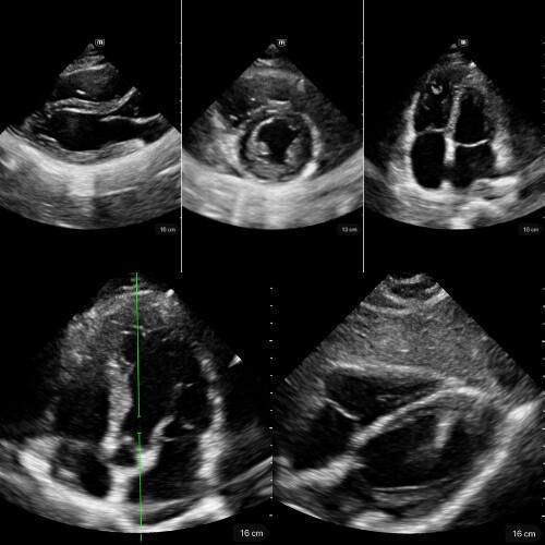
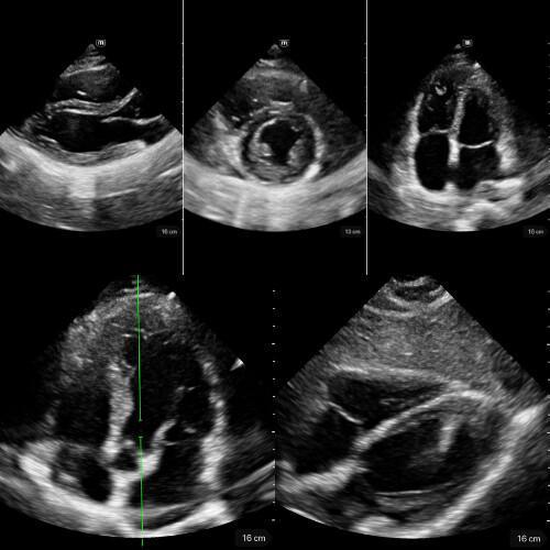
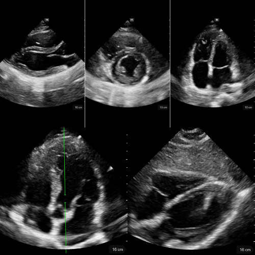
🧭 Les fenêtres essentielles
Chaque vue répond à une question clinique.
Les maîtriser, c’est savoir lire la physiologie en direct.
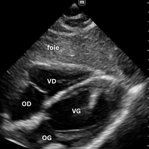
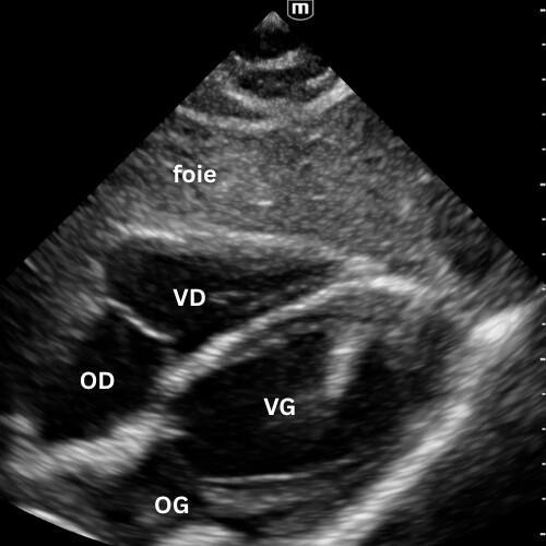
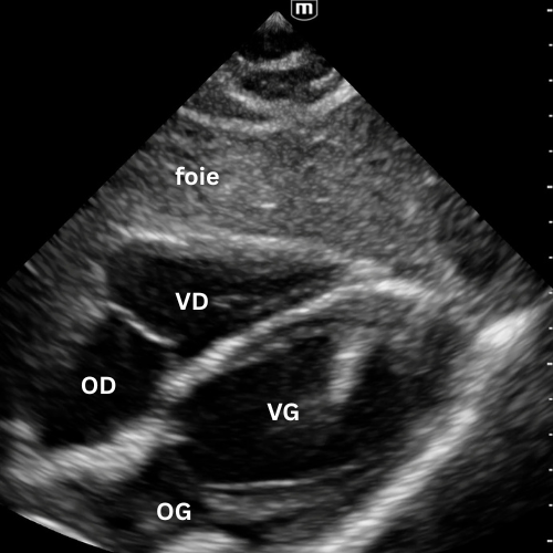
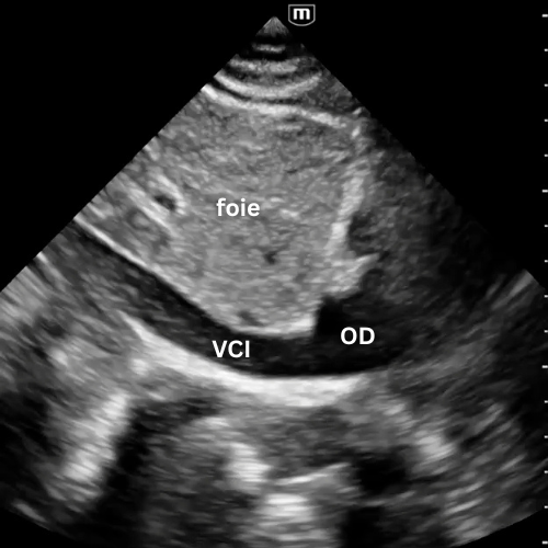
🔹 Vue Sous-costale (subxiphoïdienne)
→ Le cœur bouge-t-il ? y a-t-il du liquide ?
Placer la sonde sous l’appendice xiphoïde, dirigée vers l’épaule gauche, en s’aidant du foie comme amplificateur acoustique.
C’est la fenêtre universelle de la réanimation, utilisable pendant la RCP.
Elle permet de visualiser les quatre cavités, de détecter un épanchement péricardique même discret, et d’apprécier grossièrement la fonction myocardique.
Un simple regard suffit à trancher entre activité cardiaque présente ou asystolie réelle.
![]()
![]()
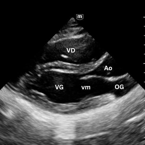
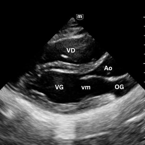
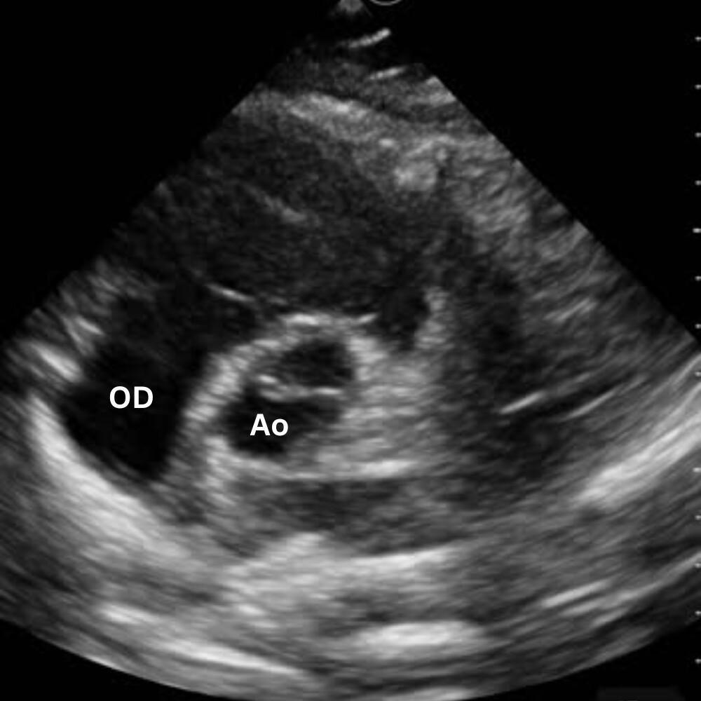
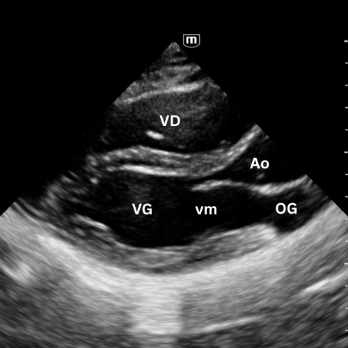
🔹 Vue Parasternale Grand Axe
→ Le cœur se contracte-t-il correctement ?
Sonde au 3ᵉ–4ᵉ espace intercostal gauche, bord sternal, marqueur vers l’épaule droite.
Montre le VG, le VD antérieur, l’oreillette gauche, la valve mitrale, la valve aortique et la racine de l’aorte.
On y évalue :
- la contractilité du VG ;
- la présence d’un épanchement péricardique postérieur ;
- l’aspect de la racine aortique (dilatée, disséquée, hyperéchogène) et la mesure de la chambre de chasse du VG.
![]()
![]()
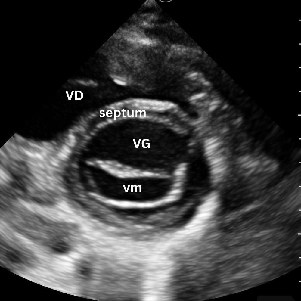
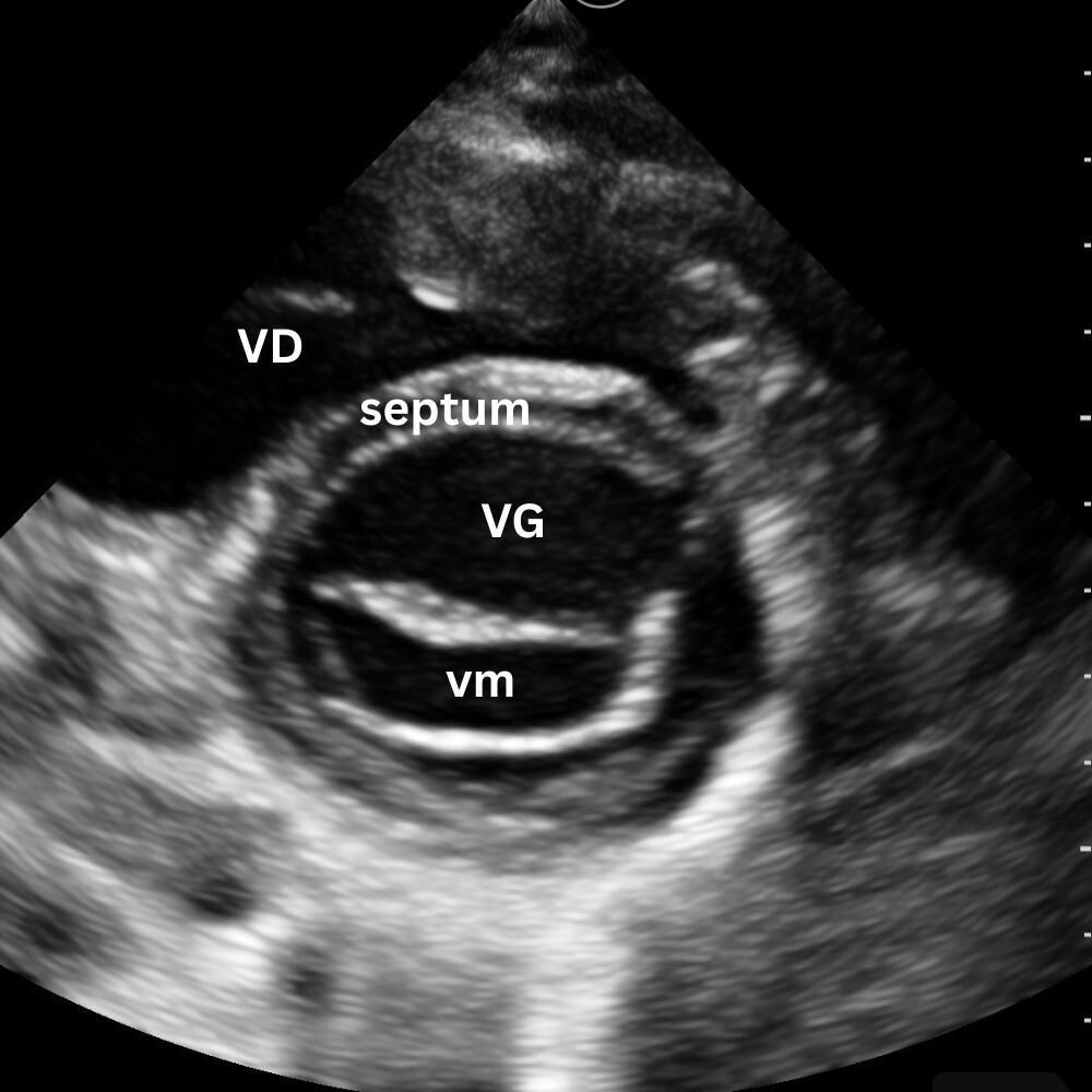
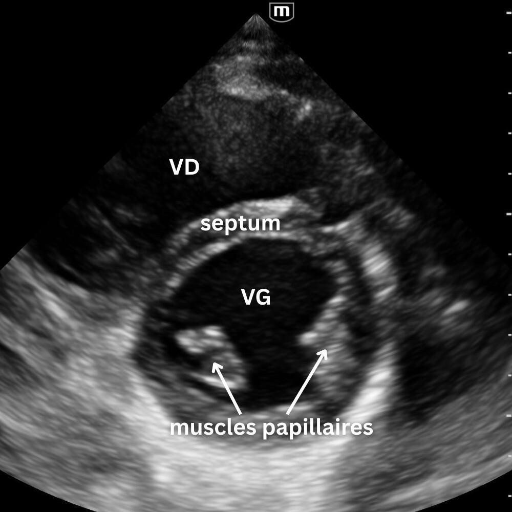
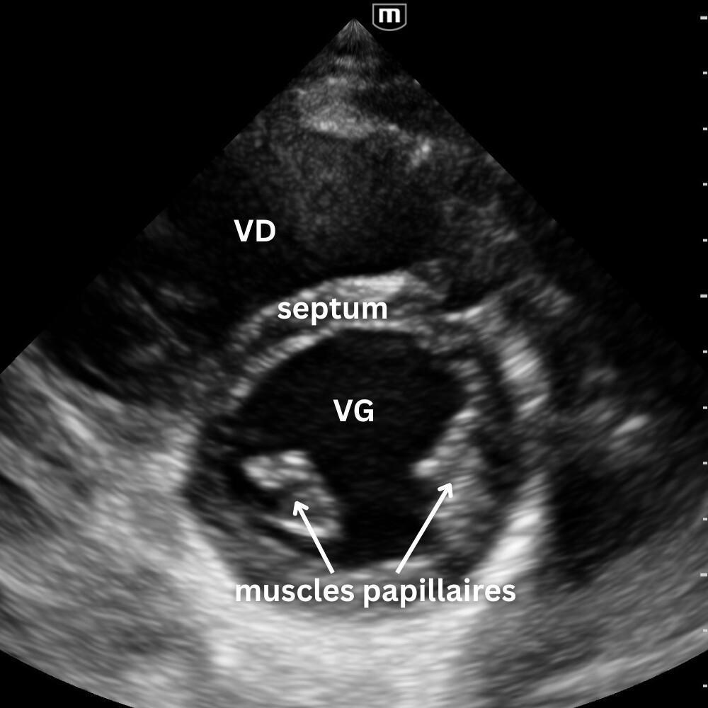
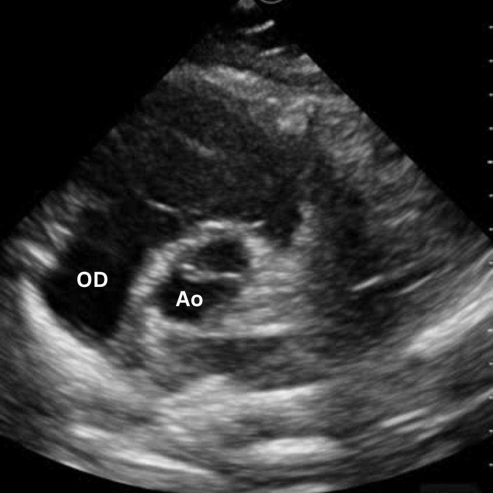
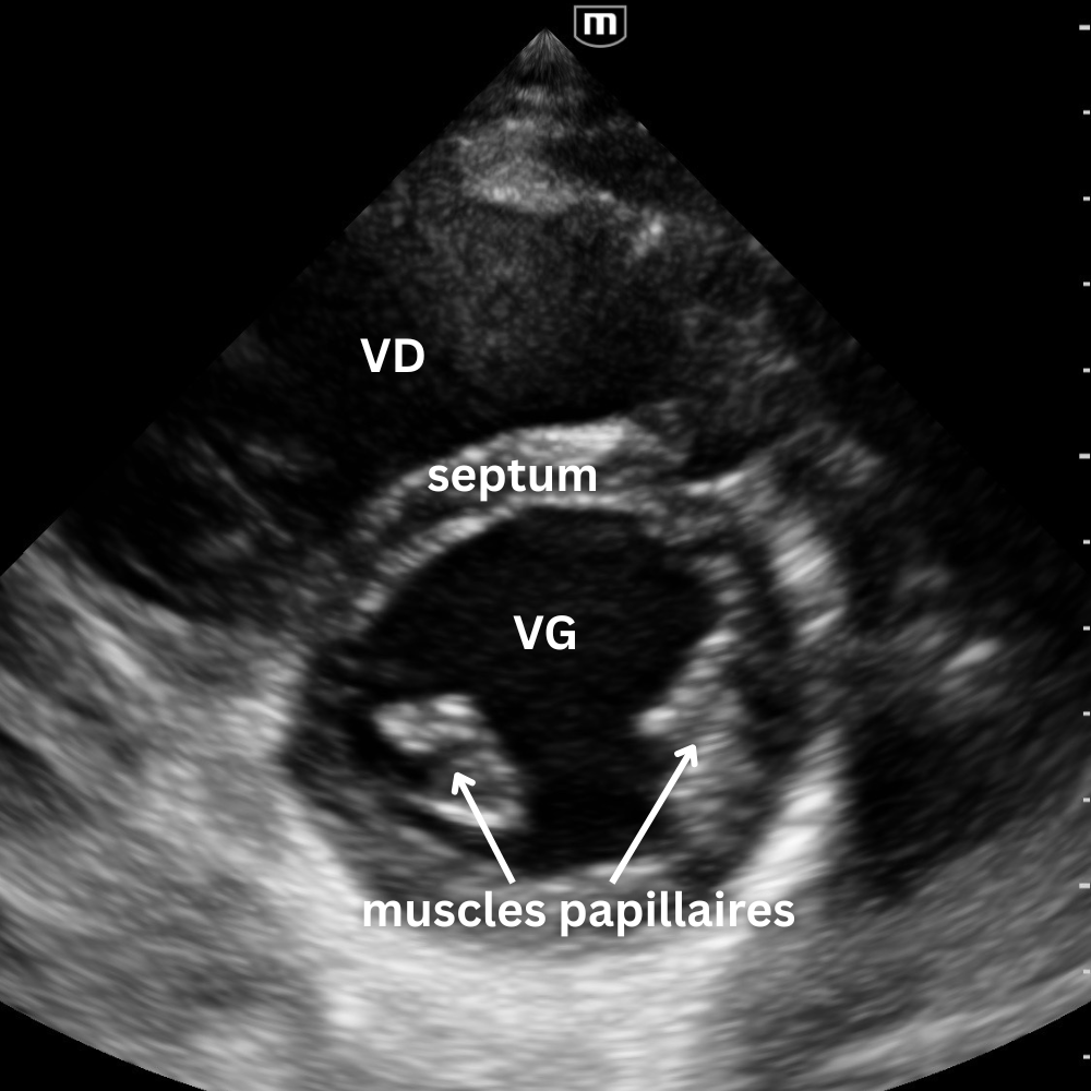
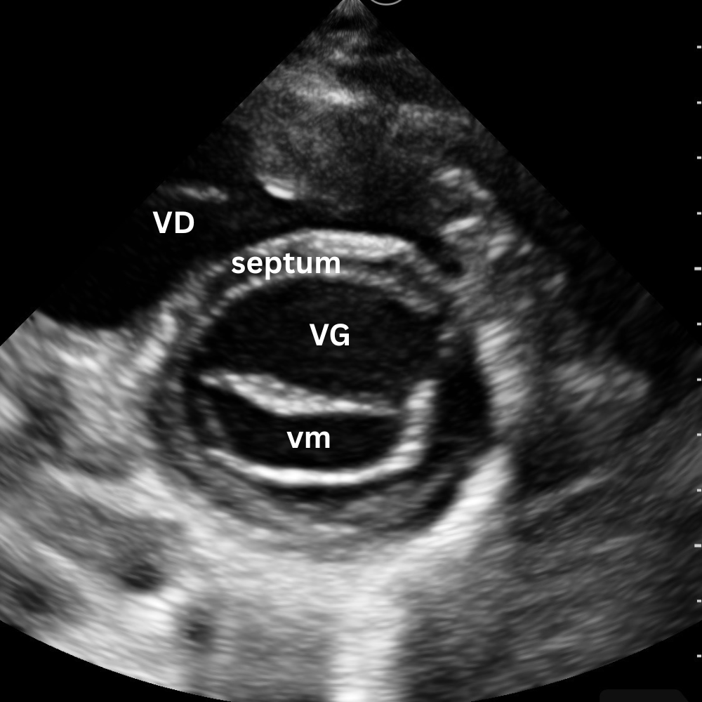
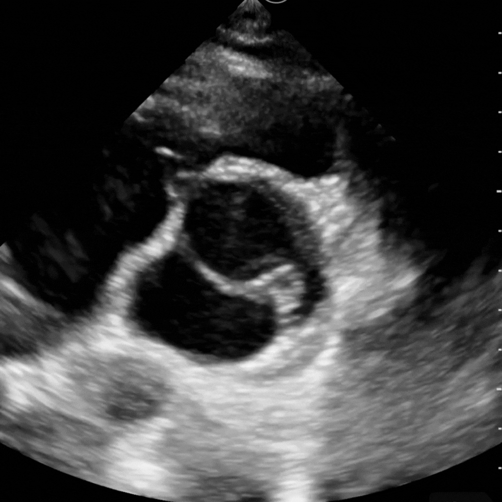
🔹 Vue Parasternale Petit Axe
→ La contraction est-elle harmonieuse ?
Même point d’appui que pour le parasternal grand axe, rotation à 90°, marqueur vers l’épaule gauche.
On observe la coupe circulaire du VG et du VD.
Un VG rond, contractile et homogène = fonction normale.
Un VG aplati ou en “D” = surcharge droite (embolie pulmonaire, HTP, tamponnade).
Une zone hypokinetique/akinetique = ischémie segmentaire.
Vue reine pour la fonction systolique et le septum interventriculaire.
Un léger mouvement de bascule permet d’explorer trois niveaux distincts :
- le plan de la valve mitrale
- le plan des muscles papillaires
- le plan de la valve aortique avec son aspect caractéristique en « signe Mercedes ».
![]()
![]()
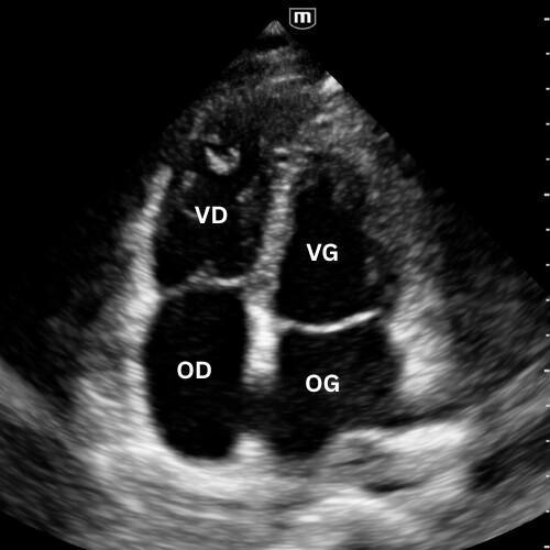
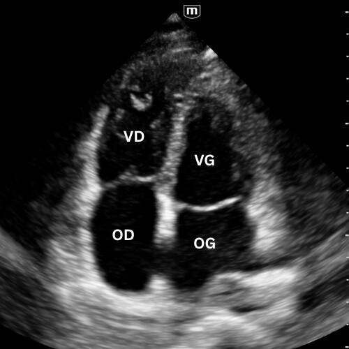
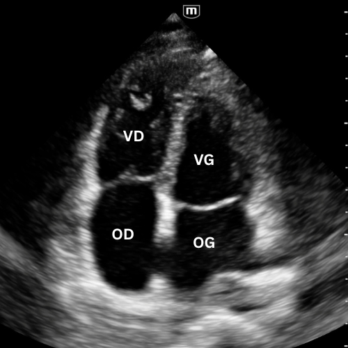
🔹 Vue Apicale Quatre Cavités
→ Quelle cavité domine ?
Placer la sonde près de l’apex (5e espace, région du mamelon gauche), marqueur vers l’épaule gauche. Glisse légèrement jusqu’à un bon espace intercostal, puis bascule la sonde vers la base du cœur jusqu’à voir VG, VD, OG et OD dans le même plan.
On visualise les quatre cavités, les valves mitrale et tricuspide et le septum.
Permet de comparer VD et VG (surcharge droite si VD ≥ VG), d’apprécier la cinétique globale et de repérer un épanchement péricardique circonférentiel.
![]()
![]()
🔹 Vue Suprasternal
→ L’aorte est-elle normale ?
Placer la sonde dans la fosse jugulaire, marqueur vers la tête, légèrement à gauche.
Diriger le faisceau vers la crosse aortique.
Cette vue montre la portion ascendante, la crosse et parfois le début de l’aorte descendante.
Elle permet de détecter :
- une dilatation pathologique (> 40 mm) ;
- une flap de dissection mobile dans la lumière aortique ;
- un flux turbulent en Doppler couleur suggérant une brèche intimal.
![]()
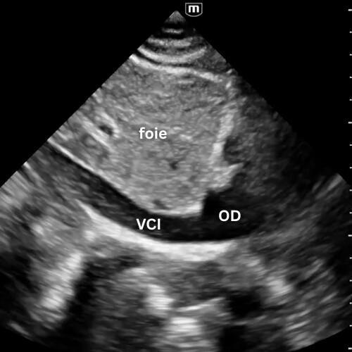
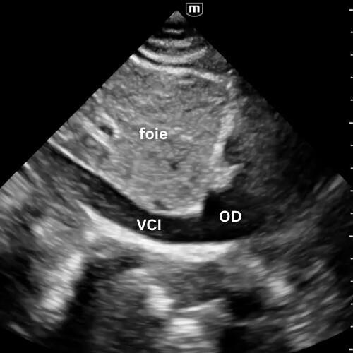
🔹 Veine Cave Inférieure (VCI)
→ Le patient est-il plein ou vide ?
Depuis la fenêtre sous-xiphoïdienne, faites pivoter la sonde en orientant le marqueur vers la tête du patient, légèrement vers son épaule gauche, afin de visualiser la veine cave inférieure à son abouchement dans l’oreillette droite.
Sa taille et sa variabilité respiratoire donnent une idée du remplissage, mais cette approche devient moins fiable devant les autres mesures comme l'evaluation des pressions de remplissage du VG. Ces techniques seront détaillées dans la suite du module cardiaque.
La VCI peut encore dépanner, mais ne doit plus être la boussole du remplissage toute seule.
🧠 Lecture séquentielle
- Sous-costale → activité cardiaque, épanchement.
- Parasternal grand axe → fonction VG, mesure CCVG.
- Court axe → symétrie et surcharge droite, anomalies de cinétique pariétale.
- Apicale quatre (ou cinq) cavités → équilibre des volumes, FEVG, PRVG, ITV.
- Suprasternal → aorte et dissection.
⚡ Lecture clinique intégrée
- VG hypokinétique → choc cardiogénique.
- VD dilaté + septum en D → surcharge droite (EP, HTAP).
- Cœur hyperkinétique, cavités vides → hypovolémie ou choc distributif.
- Épanchement péricardique avec collapsus cavitaire droit → tamponnade.
- Aorte dilatée, flap visible → dissection probable.
⚠️ Pièges fréquents
- Orientation inversée donnant une image miroir.
- Coupes obliques modifiant les rapports cavitaires.
- Gain excessif effaçant le sang.
- Compression abdominale faussant la VCI.
- Interprétation sur une seule image : toujours analyser plusieurs cycles.











