Le ventricule droit, baromètre de l’instabilité circulatoire
🎯 Objectif
Identifier à l’échographie les signes de surcharge ou de dilatation du ventricule droit (VD), souvent secondaires à une embolie pulmonaire ou une hypertension pulmonaire aiguë.
Le VD est le maillon faible du cœur : il se déforme vite, se décompense tôt, et trahit souvent un trouble hémodynamique majeur.
🧰 Technique
Utiliser la sonde cardiaque en préréglage Cardiaque, profondeur incluant les deux ventricules.
Centrer le foyer sur le septum interventriculaire.
Chez le patient instable, commencer sous-costal ; pour la cinétique, préférer la vue apicale quatre cavités (A4C).
🧭 Anatomie et rapport normal
En vue A4C, le VG occupe deux tiers de la surface cardiaque, le VD un tiers.
Le septum est convexe vers le VD en systole et diastole (Pression VG > VD).
Les parois du VD sont fines (≤ 5 mm) et le mouvement est surtout longitudinal.
Tout aplatissement du septum ou inversion de convexité signe une surcharge droite (septum paradoxal).
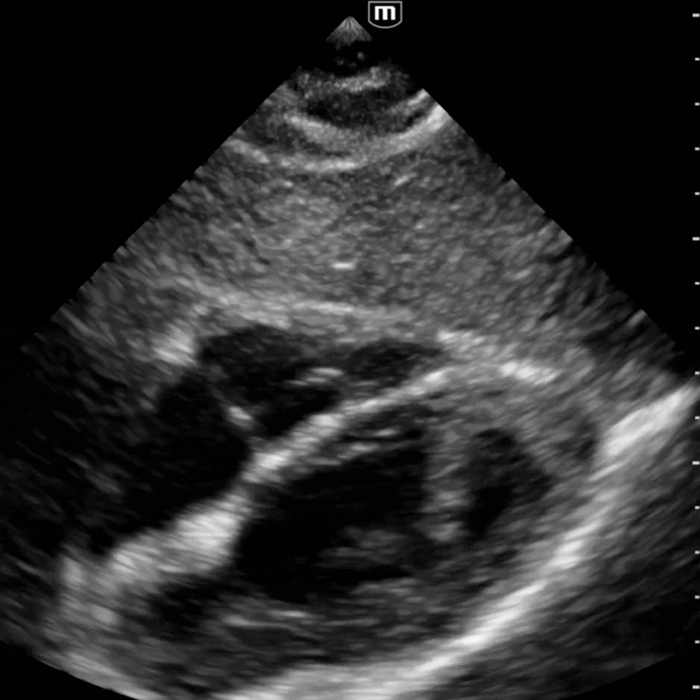
![]()
Boucle sous costale avec rapport VG/VD normal
💥 Signes échographiques de surcharge droite
- VD dilaté : rapport VD/VG ≥ 1 (en apicale ou en petit axe).
- Septum aplati ou paradoxal : en parasternal petit axe — le VG prend la forme d’un « D », d'ou le nom « signe D ».
- Apex du VD hyperkinétique avec paroi libre akinétiquе → signe de McConnell, marqueur de surcharge du VD.
- VCI dilatée et fixe : témoin d'une stase veineuse systémique et d'une pression élevée dans l'OD.
- Reflux tricuspide au Doppler, témoin d'une surpression en aval.
![]()
Parasternal petit axe avec septum paradoxal et « signe D ». POCUS Atlas — © Reproduction éducative.
🧠 Causes principales
- Embolie pulmonaire aiguë : surcharge brutale, dilatation marquée, parois fines, signe de McConnell fréquent.
- Hypertension pulmonaire chronique : VD épaissi, fonction diminuée mais mieux tolérée.
- Infarctus du VD : dilatation isolée avec akynésie basale ou inférieure.
📈 Évaluation fonctionnelle du VD
Quand la fenêtre le permet, deux indicateurs simples :
TAPSE (déplacement systolique de l’anneau tricuspide) : normal > 17 mm.
-
🖥 Vue : en A4C centrée sur le VD et l’anneau tricuspide latéral.
-
🎯 Alignement : le curseur en Mode M exactement sur l’anneau tricuspide latéral (jonction VD/oreillette droite, paroi libre).
-
📈 Lancement mode M : on active le mode M et on vérifie qu'il y a une courbe avec un mouvement net de va-et-vient de l’anneau (un pic systolique bien visible).
-
📏 Mesure : on mesure en millimètres la distance entre le point le plus bas en diastole et le point le plus haut en systole (amplitude du pic).
-
✅ Interprétation :
-
TAPSE ≥ 17 mm → fonction systolique du VD conservée
-
TAPSE 13-17 mm → dysfonction légère
-
TAPSE 10-13 mm → dysfonction modérée
-
TAPSE < 10 mm → dysfonction sévère
-
![]()
Onde S’ tricuspide (vitesse Doppler tissulaire) : normale > 10 cm/s.
-
🖥 Vue : se placer en A4C centrée VD.
-
🎯 Cible : repérer l’anneau tricuspide latéral (jonction VD–OD, paroi libre).
-
🎛 Mode Doppler tissulaire : activer le TDI (Tissue Doppler Imaging), placer le curseur sur l’anneau tricuspide latéral, puis activer le mode Doppler pulsé (PW).
-
📈 Acquisition : enregistrer le spectre Doppler tissulaire ; on doit visualiser :
-
une onde S’ en systole (le pic de l'onde positive – au dessus de la ligne de base)
-
suivie des ondes E’ et A’ en diastole (ondes négatives – en dessous de la ligne de base).
-
-
📏 Mesure : mesurer la vitesse maximale de l’onde S’ (en cm/s).
-
✅ Valeurs de référence :
-
S’ ≥ 10 cm/s → fonction systolique du VD préservée
-
S’ < 10 cm/s → dysfonction systolique du VD
-
![]()
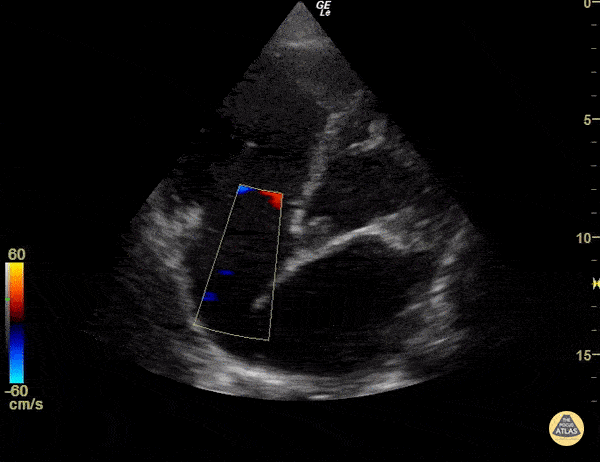
Insuffisance tricuspide fonctionnelle dans l’EP aiguë
-
En embolie pulmonaire aiguë, la surcharge brutale de pression dans l’artère pulmonaire entraîne une dilatation aiguë du VD.
-
Cette dilatation provoque fréquemment une insuffisance tricuspide fonctionnelle (IT) par élargissement de l’anneau tricuspide, entrainant une mauvaise fermeture des feuillets.
![]()
Flux d'insuffisance tricuspide au Doppler couleur. POCUS Atlas — © Reproduction éducative.
Gradient VD–OD à partir du jet d’IT
La vitesse maximale du jet d’IT (mesurée en Doppler continu / CW) permet d’estimer le gradient de pression VD–OD :
-
Vmax IT mesurée soigneusement, curseur en mode CW aligné dans l’axe du jet.
-
En urgence, ce gradient ne sert pas à quantifier une hypertension pulmonaire, mais à confirmer une surcharge droite significative.
Interprétation rapide :
-
Gradient > 30–35 mmHg → surcharge droite probable
-
Gradient bas n’exclut pas l’EP → un VD épuisé ne génère plus de pression (courant dans les EP très sévères).
💉 Surcharge droite et embolie pulmonaire
La combinaison suivante évoque fortement une embolie pulmonaire aiguë :
- VD dilaté
- septum paradoxal et « signe D »
- apex hyperkinétique (signe de McConnell)
- VCI dilatée, peu compliante
- insuffisance tricuspide
- thrombus visible dans les cavités droites
Le scanner confirmera, mais l’échographie oriente la décision immédiate : anticoagulation, thrombolyse, ou transfert vers un plateau technique.
⚠️ Pièges à éviter
- Cœur pulmonaire chronique : VD dilaté sans « signe D » marqué, pas une embolie aiguë.
- Ventilation mécanique : VD faussement dilaté par la pression positive.
- Post-RACS ou per-RCP : dilatation droite transitoire fréquente (N'est pas une indication seule à faire une thrombolyse).
- Coupe oblique : modifie artificiellement le rapport VD/VG.
🤔 Aigu vs chronique : différencier les surcharges droites
La distinction entre surcharge droite aiguë (EP massive, tamponnade, choc obstructif) et chronique(BPCO, HTAP ancienne, IC gauche chronique) repose sur un ensemble d’arguments morphologiques, fonctionnels et contextuels.
1. Paroi VD
-
Fine (< 5 mm) → Aigu
-
Épaissie (≥ 5 mm) → Chronique
➡️ C’est le critère le plus fiable.
2. Dilatation VD
-
Massive, disproportionnée, brutale → Aigu
-
Dilatation homogène, remodelée, OD élargie → Chronique
3. Septum
-
« signe D » marqué en systole → surcharge aiguë
-
Aplatissement modéré permanent → chronique
4. Fonction VD
-
Aigu : TAPSE/S’ parfois encore corrects au début → effondrement tardif
-
Chronique : TAPSE/S’ diminuent lentement, souvent mieux tolérés
5. VCI
-
Très dilatée et fixe → surcharge sévère (pas forcément aiguë)
-
À interpréter seulement dans le contexte clinique.

