L’œil clinique comme capteur hémodynamique
🎯 Objectif
- Estimer visuellement la fonction systolique du ventricule gauche (VG) à l’échographie.
- Réaliser les mesures pour estimer avec précision la fonction du VG.
🧰 Sonde et technique
Utiliser la sonde cardiaque avec préréglage Cardiaque.
Régler la profondeur pour inclure les deux ventricules et la racine aortique.
Le foyer est centré sur le VG, avec un contraste clair entre paroi brillante et cavité noire.
🧭 Fenêtres de référence
La fonction systolique s’évalue toujours sur plusieurs vues — jamais sur une seule.
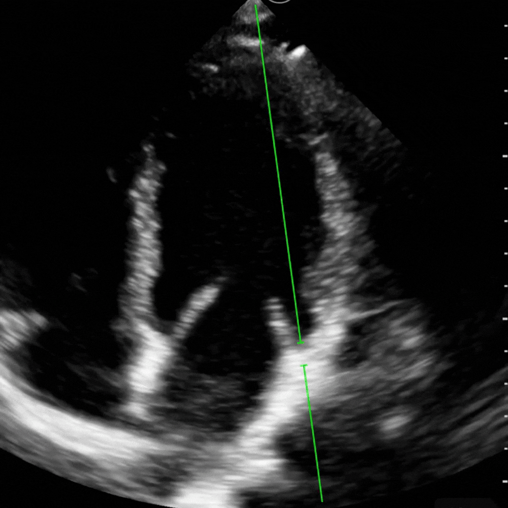
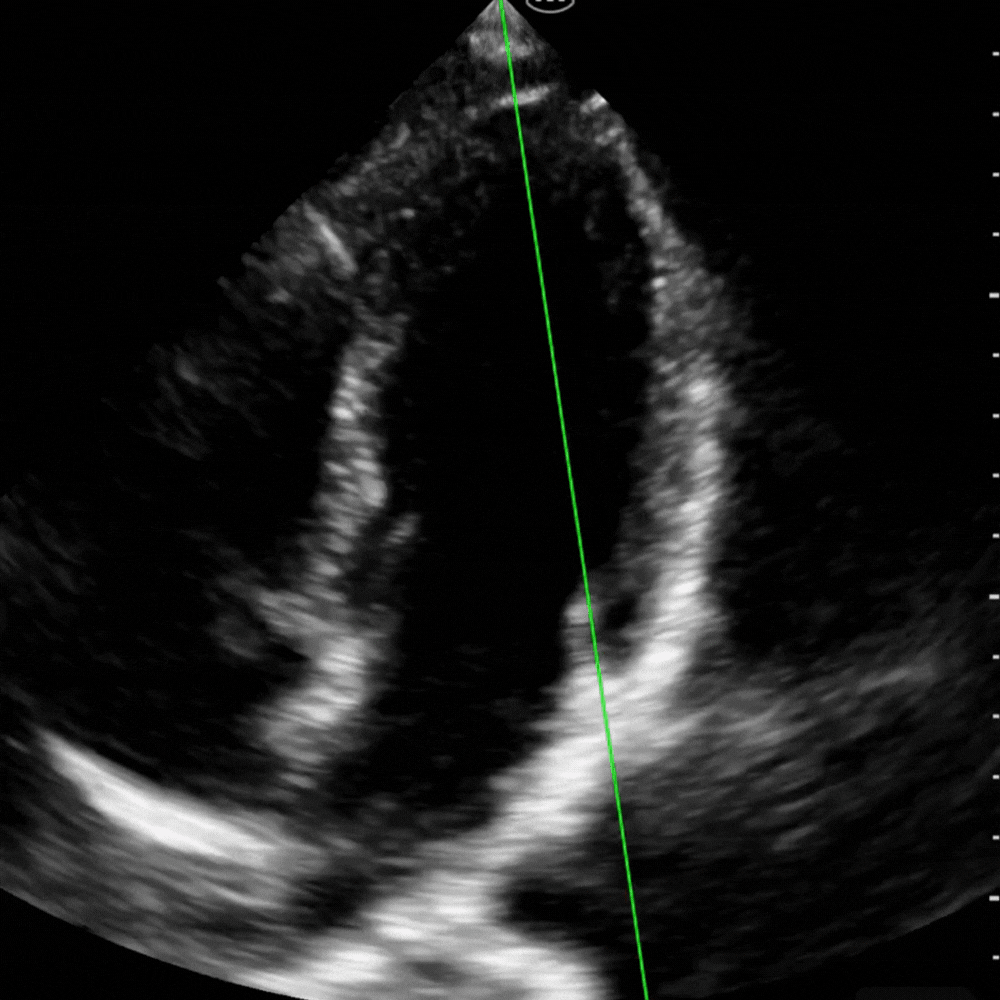
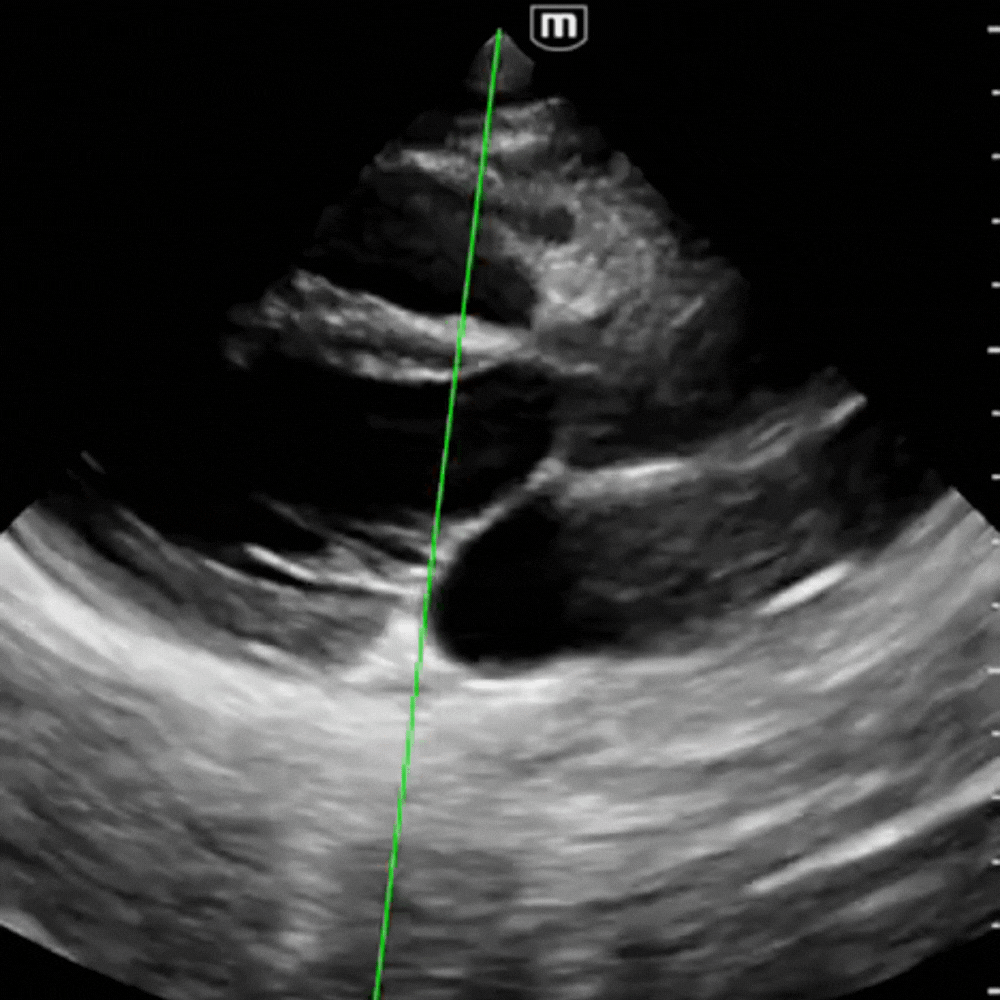
Parasternal grand axe → E point-septal separation (EPSS)
Méthode simple pour estimer la fonction systolique du VG. En parasternale grand axe, on place le curseur en mode M sur l’extrémité du feuillet antérieur mitral et le septum. On mesure la distance entre la valve en position ouverte maximale et le septum.
-
Valeur normale : 0–6 mm.
-
Zone grise : 6–7 mm.
-
Pathologique : > 7 mm, généralement associé à une FEVG < 50 %.
-
EPSS très élevée : > 10 mm, suggère une dysfonction sévère du VG.
![]()
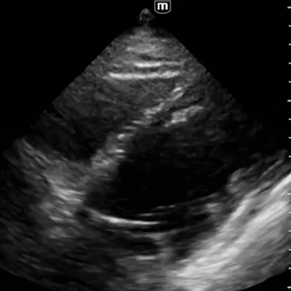
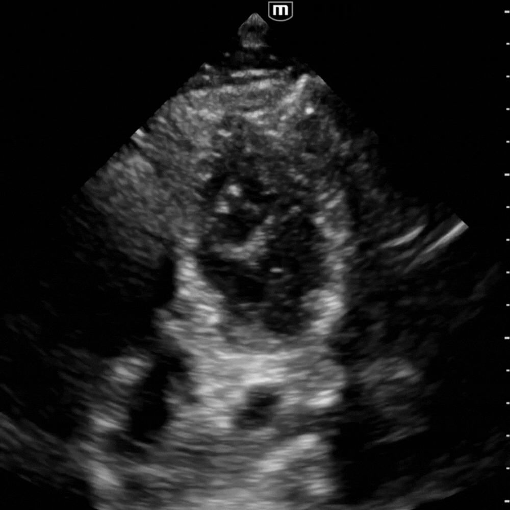
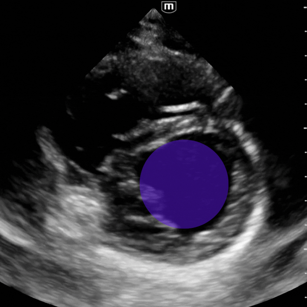
Parasternal petit axe → Cinétique pariétale
En parasternal petit axe, identifiez les anomalies de la cinétique pariétale en recherchant une asymétrie de contraction entre les différents segments du ventricule gauche. A noter que la contraction concentrique du VG est symétrique et harmonieuse, chaque segment se rapprochant de façon égale du repère circulaire central (video ci-dessous).
![]()
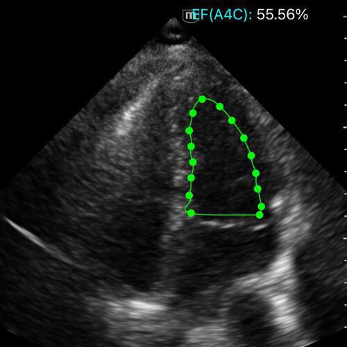
Apicale quatre cavités → estimation visuelle FEVG, calcul en méthode Simpson, MAPSE, onde S'
👀 Méthode visuelle
Observer la variation de volume du VG entre diastole et systole, et la vitesse du rapprochement des parois.
Un VG normal diminue d’environ un tiers de son diamètre à chaque battement :
- les parois se rapprochent harmonieusement,
- la cavité se vide presque complètement,
- le mouvement est vif et synchrone.
Quand la fonction baisse, la contraction devient lente, inégale, le VG reste dilaté, la valve mitrale s’ouvre peu et le volume résiduel systolique augmente.
Trois profils suffisent à la décision :
- Normale : cavité qui se vide franchement, parois toniques.
- Diminuée : contraction lente, cavité résiduelle importante.
- Très diminuée : parois quasi immobiles, volume constant.
![]()
Vue A5C avec FEVG normale.
![]()
Vue A4C avec FEVG diminuée.
![]()
Vue A4C avec FEVG très diminuée.
⚡️ Méthode de Simpson biplan
La méthode de Simpson biplan est la référence pour calculer la FEVG en échocardiographie transthoracique.
Elle segmente le VG en multiples coupes dont les volumes sont additionnés pour obtenir le volume télédiastolique (VTD) et le volume télésystolique (VTS).
En urgence, elle est peu utilisée car :
-
elle est longue,
-
opérateur-dépendante,
-
nécessite des coupes optimales,
-
et n’apporte pas de bénéfice immédiat par rapport à l’estimation visuelle dans un contexte de décision rapide. Mais connaître la technique reste utile.
🧭 Comment réaliser un Simpson biplan
1️⃣ Obtenir deux vues apicales orthogonales
- Apicale 4 cavités
- Apicale 2 cavités
Les deux doivent être strictement non tronqué.
2️⃣ Geler l’image en télédiastole et télésystole
-
Télédiastole = coupe où le VG est le plus large.
-
Télésystole = coupe où la cavité est la plus petite.
3️⃣ Tracer les contours endocardiques
Dans chaque vue (A4C puis A2C), en télédiastole et télésystole :
-
Placer les points de repère aux bases des feuillets mitraux.
-
Suivre précisément le bord endocardique jusqu’à l’apex.
-
Ne pas inclure les trabéculations ni les muscles papillaires dans la cavité.
➡️ La machine reconstruit ensuite un volume par empilement de coupes.
⬅️ ➡️ Faites défiler les coupes:
GIF ci-dessous: tracé du ventricule en diastole/systole (monoplane, démonstratif).
![]()
⚠️ Pièges fréquents du Simpson biplan
- Apex raccourci (tronqué): Erreur la plus fréquente. Si l’apex n’est pas parfaitement visible et “pointu”, le VG paraît plus petit → FEVG faussement normale ou élevée.
- Mauvais contour endocardique: Gain trop fort ou trop faible, confusion avec les trabéculations / muscles papillaires → volumes incohérents.
- Mauvais choix de coupes: Télédiastole et télésystole mal identifiées → calcul erroné (souvent ±10–15 % de FEVG).
- Vues non orthogonales (4C / 2C): Si les vues ne sont pas perpendiculaires : reconstruction du VG déformée → VTD/VTS faux.
- Fenêtre acoustique médiocre: Obésité, BPCO, ventilation mécanique, agitation → bords non visibles → méthode inutilisable.
- Temps de réalisation incompatible avec l’état du patient: Méthode lente et opérateur-dépendante : risque d’erreurs si réalisée en conditions instables.
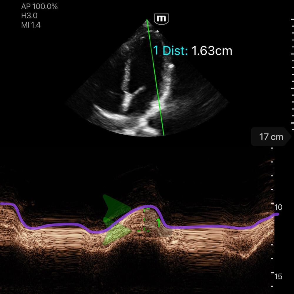
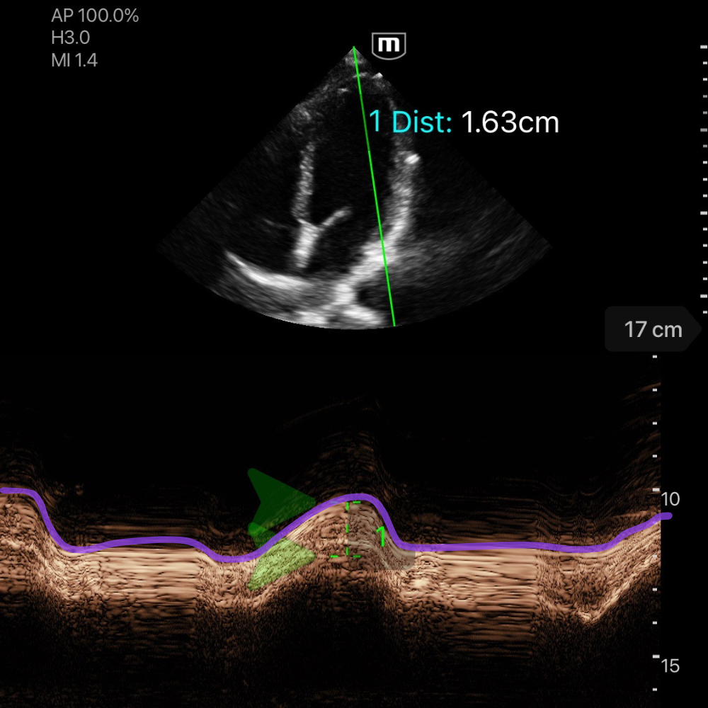
🧮 Calcul MAPSE
Le MAPSE (Mitral Annular Plane Systolic Excursion) mesure le déplacement systolique de l’anneau mitral en mode M.
Le MAPSE est proportionnel à la FEVG : plus le déplacement systolique de l’anneau mitral est faible, plus la fonction systolique du VG est réduite.
Comment mesurer le MAPSE
-
Vue apicale 4 cavités.
-
Placez le mode M sur l’anneau mitral latéral, ou médial (séptal).
-
Mesurez la hauteur de l'onde correspondante au mouvement systolique vertical, entre la base de la ligne et le pic (cf. photo ci-dessous, ligne violet).
Interprétation
-
MAPSE < 8 mm → altération significative de la FEVG
-
MAPSE 8–10 mm → fonction modérément diminuée
-
MAPSE > 10 mm → fonction systolique conservée
![]()
🧮 Calcul de l'onde S'
L’onde S’ mesurée en Doppler Tissulaire (TDI) au niveau de l’anneau mitral permet une evaluation indirecte de la FEVG avec une corrélation satisfaisante.
Comment mesurer l’onde S’
-
Vue apicale 4 cavités.
-
Activer le Doppler Tissulaire (TDI).
-
Placer le curseur sur l’anneau mitral latéral.
-
Identifier et mesurer le pic de l’onde S’ (vélocité systolique).
Interprétation
-
S’ < 8 cm/s → dysfonction systolique du VG.
-
S’ 8-10 cm/s → fonction réduite ou zone grise.
-
S’ > 10 cm/s → fonction systolique généralement conservée.
![]()
🧠 Intégration physiologique
L’observation du VG éclaire immédiatement la stratégie thérapeutique :
- Fonction normale → éliminer une cause de choc non cardiogénique (hypovolémie, obstruction, sepsis).
- Fonction diminuée → envisager un soutien inotrope (noradrénaline, dobutamine) et limiter le remplissage.
- Fonction très basse + VD dilaté → penser à embolie pulmonaire massive ou défaillance biventriculaire.
- VG hyperkinétique + cavités vides → signe d’un cœur sous-rempli.
⚠️ Pièges fréquents
- Coupes obliques : donnent une fausse impression de contraction.
- Sous-remplissage : VG hyperkinétique ne signifie pas toujours bon débit.
- Ventilation mécanique : modifie le remplissage et peut surestimer la fonction.
- Tachycardie extrême : images confuses — utiliser le mode ciné ralenti.




