Globe ou obstruction : trancher en urgence.
🎯 Objectif
Utiliser l’échographie pour répondre à deux questions critiques aux urgences :
-
Y a-t-il un globe vésical ?
-
Y a-t-il une obstruction des voies urinaires (hydronéphrose) ?
🟢 Globe vésical
Quand y penser
-
Douleur hypogastrique
-
Anurie / oligurie
-
Insuffisance rénale aiguë inexpliquée
-
Terrain à risque (HBP, anticholinergiques, post-opératoire, pathologie neurologique)
-
Confusion chez les personnes agées
Comment identifier la vessie
-
Sonde convexe, en sus-pubienne
-
Coupes transversale puis longitudinale
-
Structure anéchogène, médiane, à paroi fine
-
Ajuster la profondeur pour inclure la totalité de la vessie
![]()
Vessie normale. © POCUS Atlas
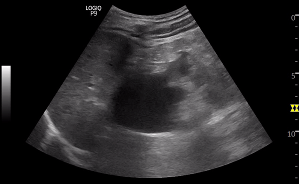
Comment mesurer le volume vésical
-
Mesurer la largeur (l) et la hauteur (h) en coupe transversale
-
Mesurer la longueur (L) en coupe longitudinale
-
Calculer le volume :
Volume (mL) = L × l × h × 0,52 (l'appareil fait le calcul automatique si le mode "Volume" est selectionné dans le menu)
📏 Repères pratiques :
-
> 300 mL : rétention significative
-
> 500–600 mL : globe vésical franc ➡️ impact immédiat : sondage urinaire (sauf contre-indication).
![]()
Mesure du volume vésical – Gauche: vue transversale avec mesure de la largeur et la hauteur. Droite: vue longitudinale avec mesure de la longueur. Baradaran-Ghahfarokhi M et al. Figure 1. Comparison of prostate and bladder volume measurements.
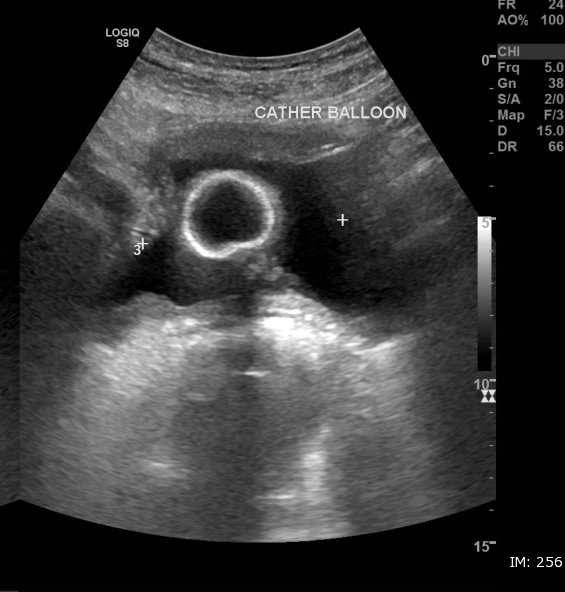
Vérifier la présence d’une SAD
Chez un patient déjà sondé ou après pose récente :
-
Rechercher dans la vessie une image ronde, anéchogène ou hypoéchogène, correspondant au ballonnet de la sonde.
-
Vérifier que le ballonnet est bien intra-vésical et non dans l’urètre.
-
La persistance d’une vessie distendue malgré la présence du ballonnet évoque :
-
obstruction de la sonde,
-
ballonnet mal positionné,
-
caillot ou rétention sous sonde.
-
➡️ Évite les faux diagnostics de globe et les sondages inefficaces.
⬅️ ➡️ Faites défiler les coupes:
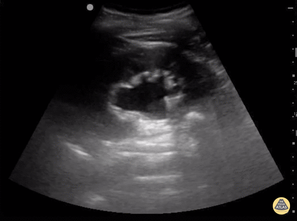
🔴 Hydronéphrose
L’hydronéphrose traduit une obstruction des voies urinaires.
En urgence, l’enjeu n’est pas d’en identifier la cause précise, mais de confirmer l’obstruction et d’en apprécier la sévérité, car cela conditionne la prise en charge immédiate.
🔍 Comment la reconnaître
L’hydronéphrose apparaît comme :
-
des zones anéchogènes centrales,
-
ramifiées,
-
correspondant à la dilatation du bassinet et des calices,
-
avec une désorganisation progressive du sinus rénal.
L’examen doit toujours être bilatéral et comparatif.
📊 Évaluer la sévérité
Hydronéphrose légère
-
Discrète dilatation du bassinet
-
Calices peu visibles
-
Parenchyme conservé
![]()
Hydronéphrose légère. © POCUS Atlas
Hydronéphrose modérée
-
Bassinet et calices clairement dilatés
-
Aspect central très anéchogène
-
Parenchyme encore présent
![]()
Hydronéphrose modérée. © POCUS Atlas
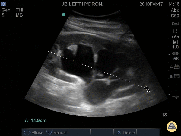
Hydronéphrose sévère
-
Dilatation majeure, calices largement ouverts
-
Amincissement du parenchyme rénal
-
Rein globuleux, architecture altérée
![]()
Hydronéphrose sévère. © POCUS Atlas
➡️ Plus l’hydronéphrose est marquée, plus l’obstruction est significative ou prolongée.
⚠️ Différencier l’hydronéphrose des faux positifs
Hydronéphrose vs vaisseaux
-
Les vaisseaux ont une forme tubulaire régulière.
-
Ils montrent un flux au Doppler couleur.
-
L’hydronéphrose est anéchogène, non pulsatile, sans flux.
![]()
Flux Doppler couleur mettant en evidences les vaisseaux. © Nephropocus
👉 Doppler couleur = outil clé en cas de doute.
Hydronéphrose vs kystes rénaux
Les kystes sont :
-
arrondis ou ovalaires,
-
bien limités,
-
isolés du système collecteur.
L’hydronéphrose est :
-
centrale,
-
ramifiée,
-
connectée au bassinet.
![]()
Structure arrondie, anéchogène et périphérique + absence de structure anéchogène et ramifiée dans le pelvis rénal = kyste rénal. © Nephropocus
👉 Suivre les cavités dilatées permet de confirmer leur continuité. Toujours évaluer en 2 plans : longitudinal et transversal !
🧠 Message clé
-
Hydronéphrose = obstruction jusqu’à preuve du contraire.
-
En urgence, il faut la voir, la grader grossièrement, et ne pas la confondre.
-
Le Doppler couleur est ton meilleur allié pour éviter les faux diagnostics.

