🎯 Objectif
L’échographie abdominale est un outil essentiel en médecine d’urgence.
Elle permet une évaluation rapide, non invasive et répétable des organes intra-abdominaux et rétro-péritonéaux.
👉 Elle aide à :
- Détecter la présence d’un liquide libre.
- Évaluer le parenchyme des organes pleins (foie, rate, reins).
- Identifier des dilatations, masses ou anomalies viscérales.
C’est un examen de triage immédiat, orientant à la fois le diagnostic et la prise en charge thérapeutique du patient.
⚙️ But : savoir quand, où et comment utiliser la sonde pour obtenir une image claire et exploitable — directement au lit du malade.
🧰 Sonde & Réglages
L’examen abdominal repose principalement sur une sonde convexe (curviligne) de 2 à 5 MHz, qui offre une bonne pénétration et une vision d’ensemble des structures profondes.
Chez les patients minces ou pour l’étude de structures superficielles, une sonde linéaire haute fréquence (7–12 MHz)permet d’obtenir une meilleure résolution.
💡 Astuces de réglage :
- Commencer avec une profondeur importante, puis l’ajuster pour centrer la zone d’intérêt.
- Maintenir un gain modéré pour bien différencier les liquides (noirs) des tissus solides (gris).
- Ajuster la mise au point au niveau de la structure étudiée.
- Utiliser le mode harmonique pour affiner les contours du foie, des reins ou de la vésicule biliaire.
🧍 Position du Patient & de l’Examinateur
Le patient est idéalement en décubitus dorsal, bras le long du corps, avec l’abdomen dégagé.
Un jeûne de 4 à 6 heures (si possible) réduit les artefacts gazeux et facilite la visualisation de la vésicule biliaire.
🪞 Variantes selon la zone explorée :
- Décubitus latéral droit → exploration de la rate.
- Décubitus latéral gauche → exploration du foie et de la vésicule.
- Position assise → recherche d’un épanchement pleural ou subphrénique bas.
L’opérateur doit rester stable et confortable, l’écran face à son regard, avec le câble de la sonde dégagé pour des mouvements fluides.
🎯 Une bonne ergonomie = une meilleure qualité d’image et moins de fatigue.
🧭 Fenêtres Acoustiques & Repères Anatomiques
L’examen débute souvent par la région sus-mésocolique, en utilisant le foie comme fenêtre acoustique principale.
Le parenchyme hépatique homogène permet d’identifier :
- La veine cave inférieure.
- Les veines sus-hépatiques.
- La vésicule biliaire.
🫀 Autres repères :
- Rate → explorée par voie intercostale gauche (avec le diaphragme comme repère supérieur).
- Reins → visualisés dans le plan longitudinal oblique postérieur.
- Vessie → observée en abaissant la profondeur pour explorer le pelvis.
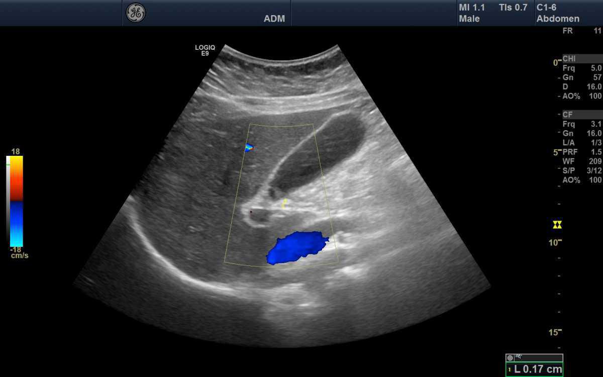
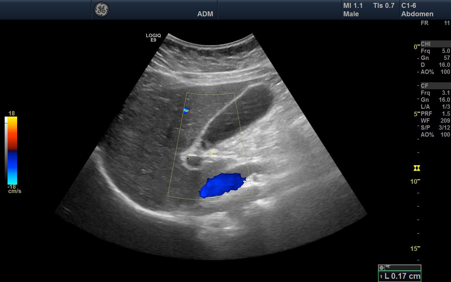
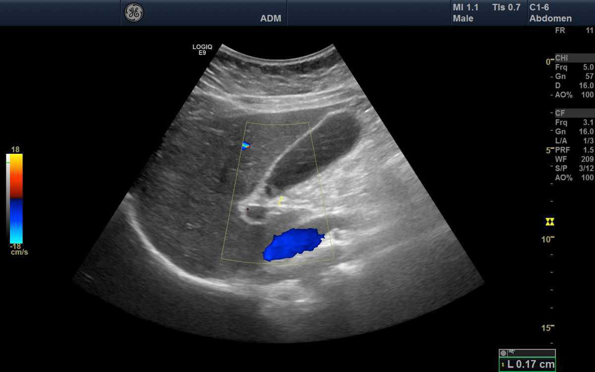
💧 Recherche systématique du liquide libre :
- Espace hépato-rénal (de Morrison).
- Espace spléno-rénal.
- Récessus pelvien (cul-de-sac de Douglas chez la femme, vésico-rectal chez l’homme).
Le liquide libre apparaît anéchogène et suit toujours les espaces anatomiques déclives.
⚙️ Conseils Techniques & Erreurs Fréquentes
- ⚠️ Pression excessive : peut masquer une petite collection.
- 🌬️ Utiliser la respiration : l’inspiration profonde abaisse le foie et la rate, ouvrant la fenêtre acoustique.
- 📉 Gain trop élevé : uniformise les tissus et efface les détails.
- 📈 Gain trop faible : fait disparaître les interfaces.
- 🧠 Toujours corréler les images au contexte clinique — une image isolée ne suffit jamais à conclure.
Astuce : apprendre à reconnaître un abdomen “normal” avant de chercher la pathologie.
🩺 Intérêt Clinique
En contexte d’urgence, l’échographie abdominale doit répondre à des questions simples et immédiates :
- Y a-t-il du liquide libre ?
- Un organe est-il dilaté ou hétérogène ?
- Existe-t-il une dilatation des voies biliaires ou urinaires ?
- Y a-t-il un signe de cholécystite, pyélonéphrite ou anévrysme ?
Ces réponses, obtenues en moins de deux minutes, orientent souvent la décision :
- 📍 besoin de chirurgie ?
- 💉 geste d’évacuation ou de drainage ?
- 🕒 simple surveillance clinique ?
L’échographie est aussi l’outil de guidage idéal pour les gestes invasifs : ponction d’ascite, drainage d’abcès, repérage vasculaire ou vérification d’un cathéter.
⚡ En un mot : elle transforme l’incertitude clinique en action immédiate.
⚠️ Limites & Précautions
Certaines situations rendent l’examen plus difficile :
- Obésité importante.
- Météorisme intestinal.
- Douleur ou plaie abdominale empêchant l’appui de la sonde.
Elle ne remplace pas l’imagerie en coupe lorsqu’une exploration complète est nécessaire (scanner, IRM).
La qualité de l’examen dépend directement :
- De l’expérience de l’opérateur.
- De sa rigueur technique.
- Et de sa connaissance de l’anatomie échographique.
📸 Toujours enregistrer une image représentative pour assurer la traçabilité.
🧩 Conclusion
L’échographie abdominale est aujourd’hui un prolongement naturel de l’examen clinique.
Elle est rapide, sûre et reproductible, et s’intègre parfaitement dans la démarche d’évaluation initiale aux urgences ou en réanimation.
Elle permet de :
- Confirmer une suspicion clinique.
- Déceler précocement les signes de gravité.
- Guider les gestes thérapeutiques immédiats.
💬 En médecine d’urgence, l’échographie n’est plus un luxe — c’est un réflexe.

