Occlusion : identifier le blocage en urgence.
🎯 Objectif
Identifier rapidement une occlusion chez un patient présentant des vomissements et une distension abdominale, sans toutefois remplacer le scanner pour la confirmation et l'étiologie.
🧭 Technique
Utiliser la sonde convexe 2–5 MHz.
Balayage systématique de toute la cavité abdominale.
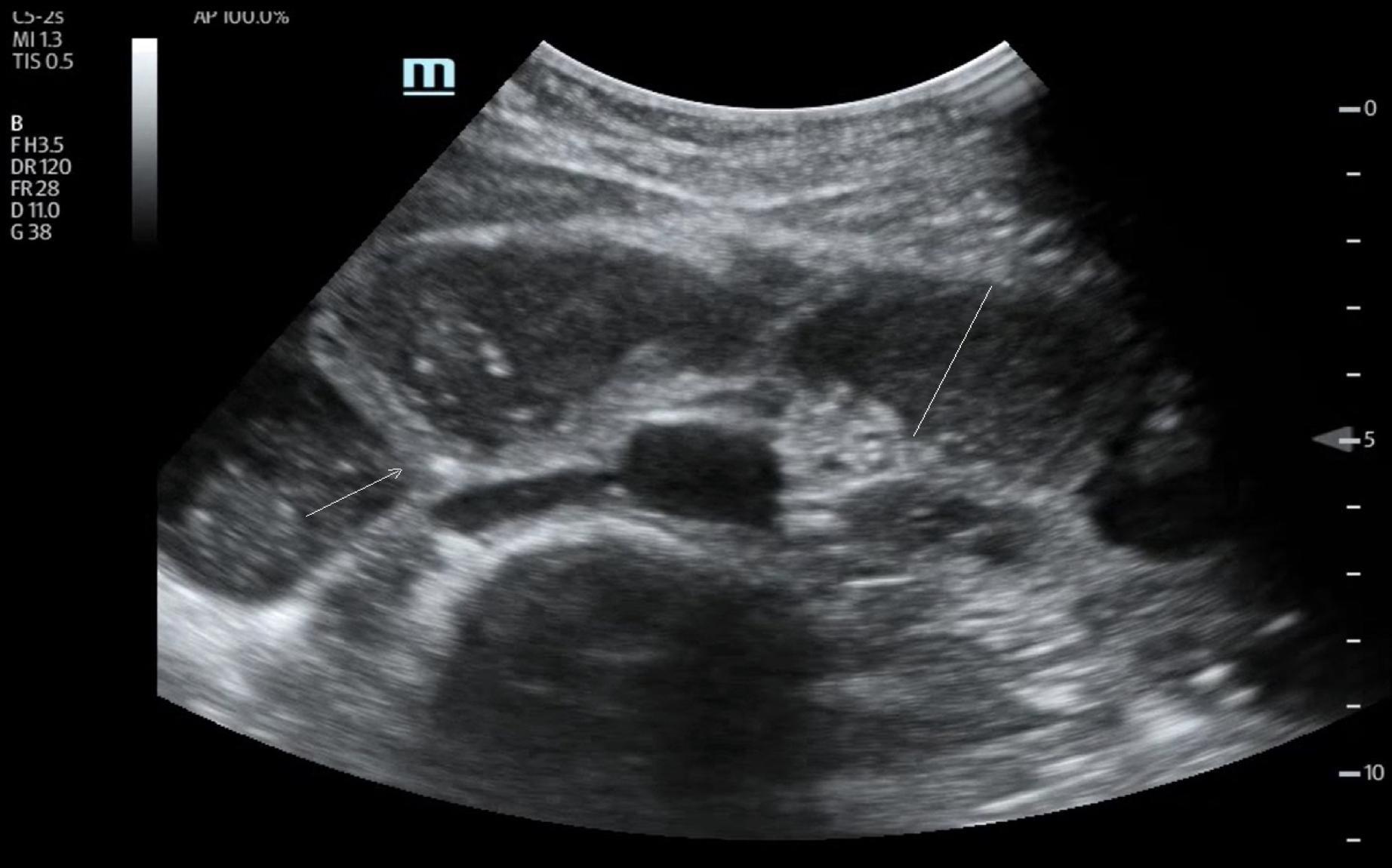
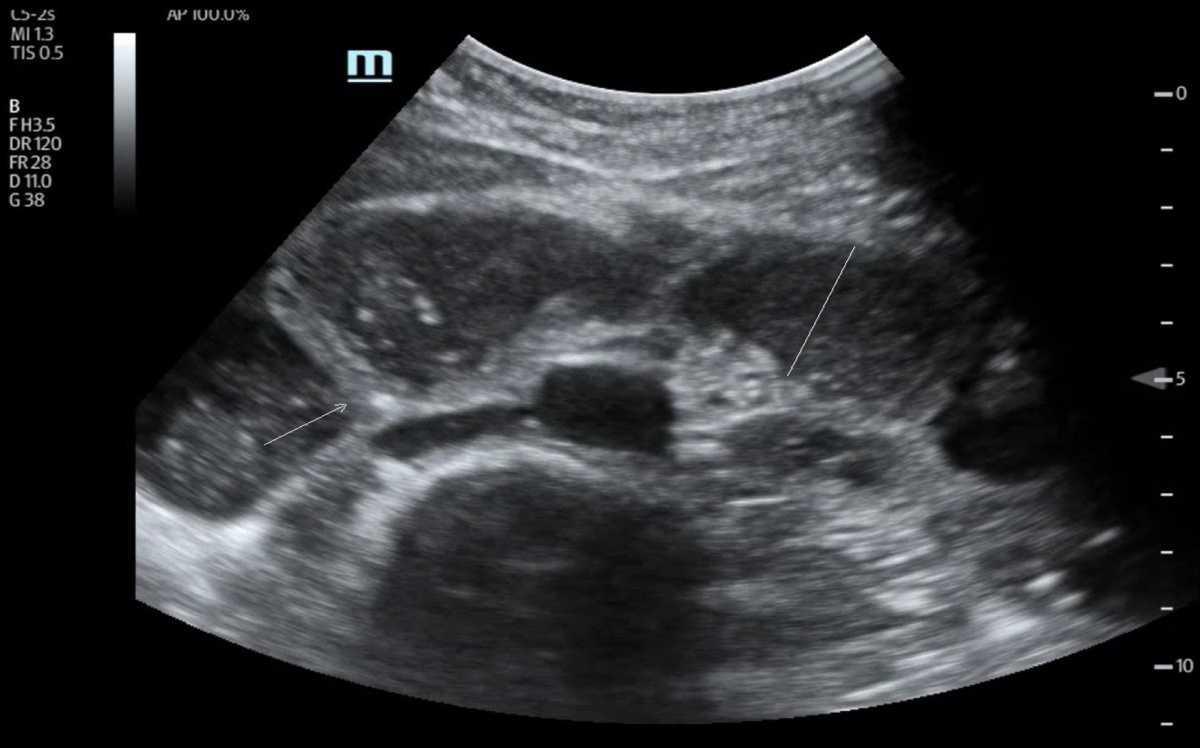
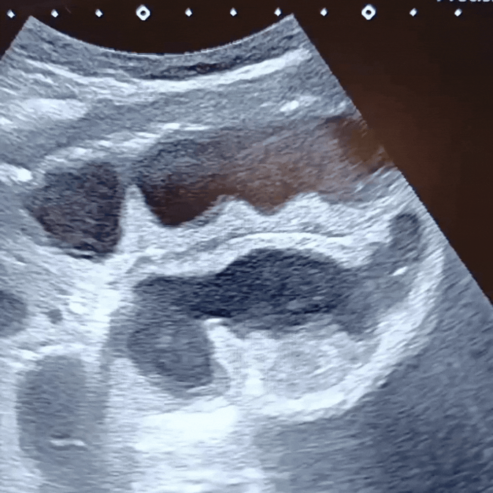
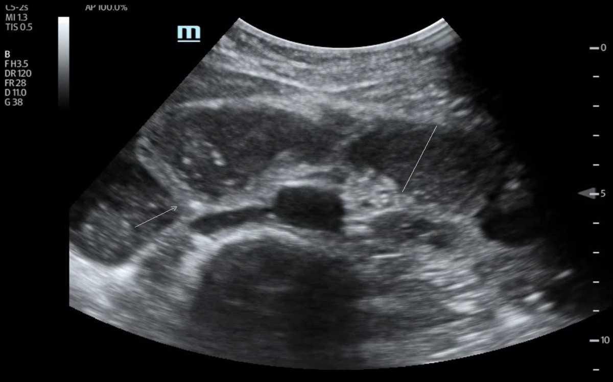
🩺 Critères Échographiques
- Dilatation des anses grêles : diamètre > 25 mm (> 2,5 cm), contenu liquidien, paroi fine.
- Anses coliques : plus périphériques, contenu gazeux, haustrations visibles.
- Signe du tourbillon : mouvement de va-et-vient du contenu intestinal.
- Péristaltisme exagéré ou absent selon le stade (hyper puis paralytique).
💧 Rechercher un épanchement inter-anse : marqueur de souffrance digestive.


