Voir l’aorte avant qu’elle ne cède.
🎯 Objectif Aorte
L’échographie aortique vise à exclure un anévrysme de l’aorte abdominale (AAA) ou une dissection, notamment devant une douleur abdominale ou lombaire inexpliquée.
🧭 Technique
Utiliser la sonde convexe 2–5 MHz, patient en décubitus dorsal.
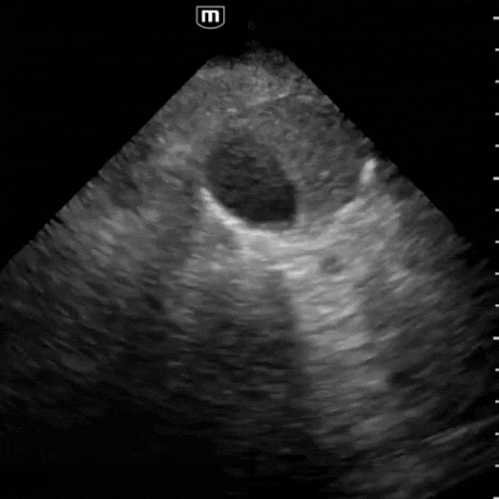
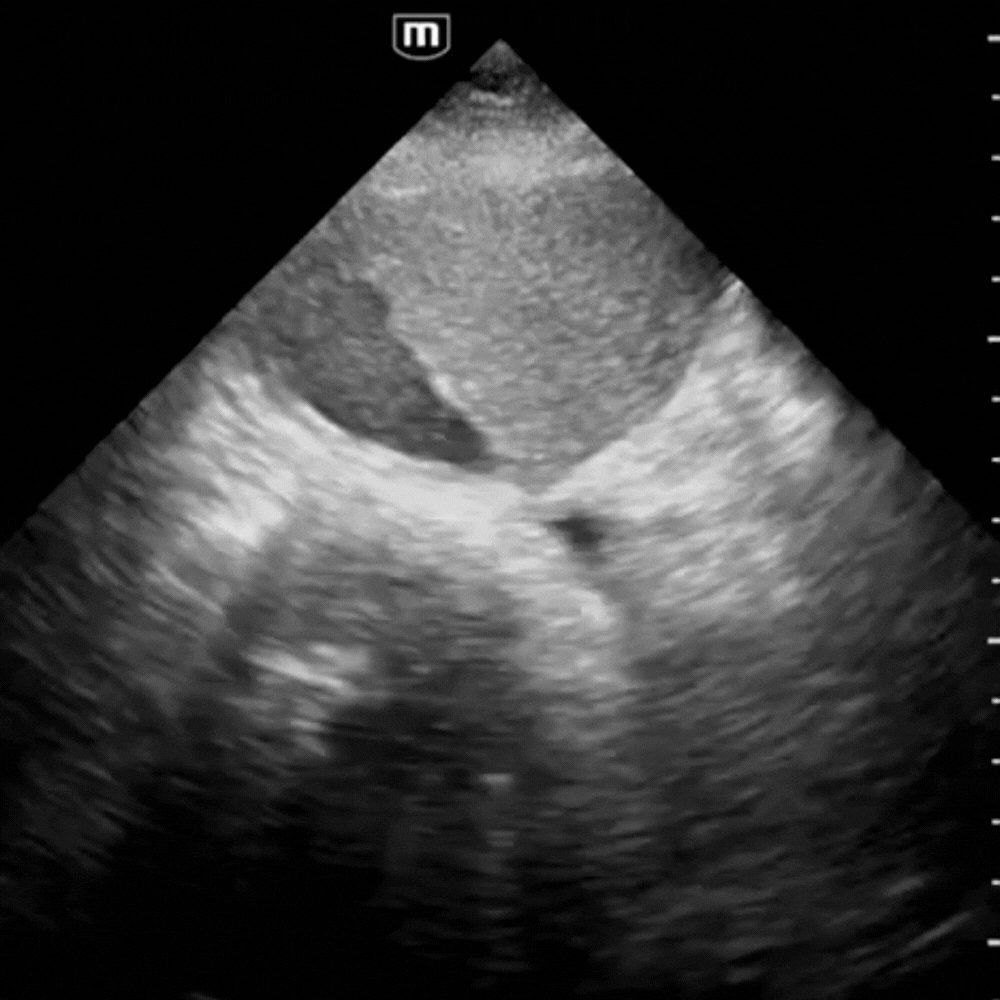
L’aorte est visualisée en longitudinal et transverse, depuis le diaphragme jusqu’à la bifurcation iliaque.
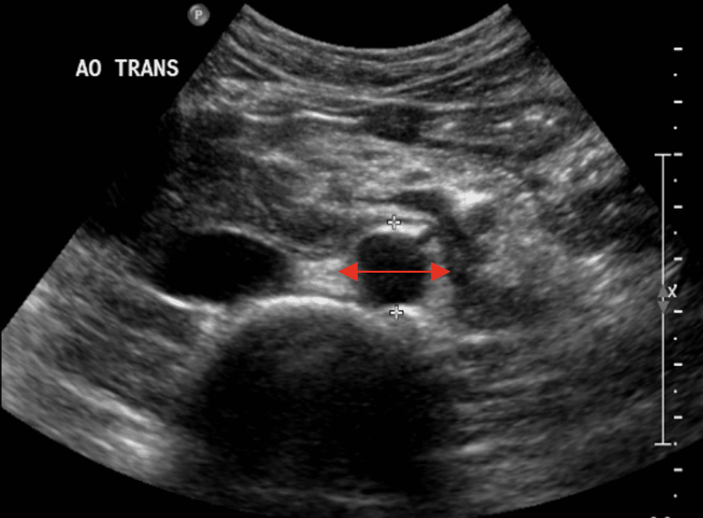
Le diamètre externe-externe doit être mesuré perpendiculairement au faisceau, sans compression.
🩺 Valeurs & Aspect Normal
- Diamètre normal : < 3 cm.
- Lumen anéchogène avec paroi fine et régulière.
- Ramifications visibles : artères rénales, puis bifurcation en artères iliaques.
💡 Toujours comparer à la veine cave inférieure, compressible et à paroi fine, pour ne pas confondre.
⚠️ Signes de Pathologie
- Anévrysme fusiforme ou sacculaire : dilatation > 3 cm, souvent avec calcifications pariétales.
- Thrombus mural : zone échogène pariétale sans flux au Doppler.
- Rupture : hématome rétro-péritonéal hétérogène, parfois difficile à distinguer ; rechercher un épanchement libre.
🚨 Un AAA > 5,5 cm ou douloureux = urgence chirurgicale absolue.

