HTIC et perfusion cérébrale en TCG
🎯 Objectif
Le Doppler transcrânien (DTC) n’est pas un examen anatomique.
Il répond à une question simple :
👉 Le cerveau est-il correctement perfusé ?
En traumatisme crânien grave (TCG), il permet :
-
De dépister une baisse de la pression de perfusion cérébrale (PPC)
-
De suspecter une HTIC
-
De guider une optimisation hémodynamique immédiate
-
De surveiller la réponse au traitement
🧭 Indications aux urgences / préhospitalier
-
Traumatisme crânien grave (GCS < 9)
-
Suspicion d’HTIC
-
Suivi après osmothérapie / controle HD
📡 Technique simplifiée
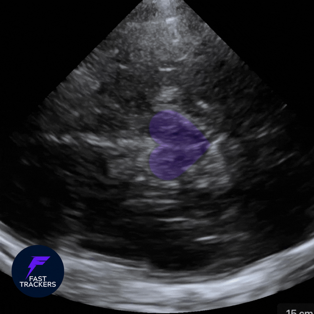
🧠 Fenêtre temporale
Region temporale, devant le pavillon de l'oreille.
Cible : Artère cérébrale moyenne (ACM)
1️⃣ Étape initiale : mode B + préréglage Doppler Transcrânien (DTC / TCI)
Toujours commencer en mode B, sans Doppler.
💡 Activer le prereglage Doppler Transcrânien (DTC / TCI) pour beneficier des calculs automatiques !
-
Fenêtre temporale.
-
Identifier la voûte osseuse temporale controlatérale.
-
Au centre : structure légèrement hypoéchogène en forme de papillon/coeur → tronc cérébral.
➡️ Le tronc cérébral est ton repère anatomique.
L’ACM chemine en antéro-latéral par rapport à lui.
2️⃣ Activation du Doppler couleur
-
Activer le Doppler couleur.
-
Chercher un flux latéral au tronc cérébral.
-
Ajuster le gain pour éviter le bruit.
Une fois le flux identifié ➡️ Réduire la profondeur pour centrer l’écran sur l’ACM.
3️⃣ Ajustements fins (étape critique)
L’ACM ne “s’attrape” pas brutalement.
Micro-ajustements nécessaires :
-
Légers mouvements d'angulation haut/bas
-
Minime rotation de la sonde
-
Objectif : étaler l’ACM sur le spectre
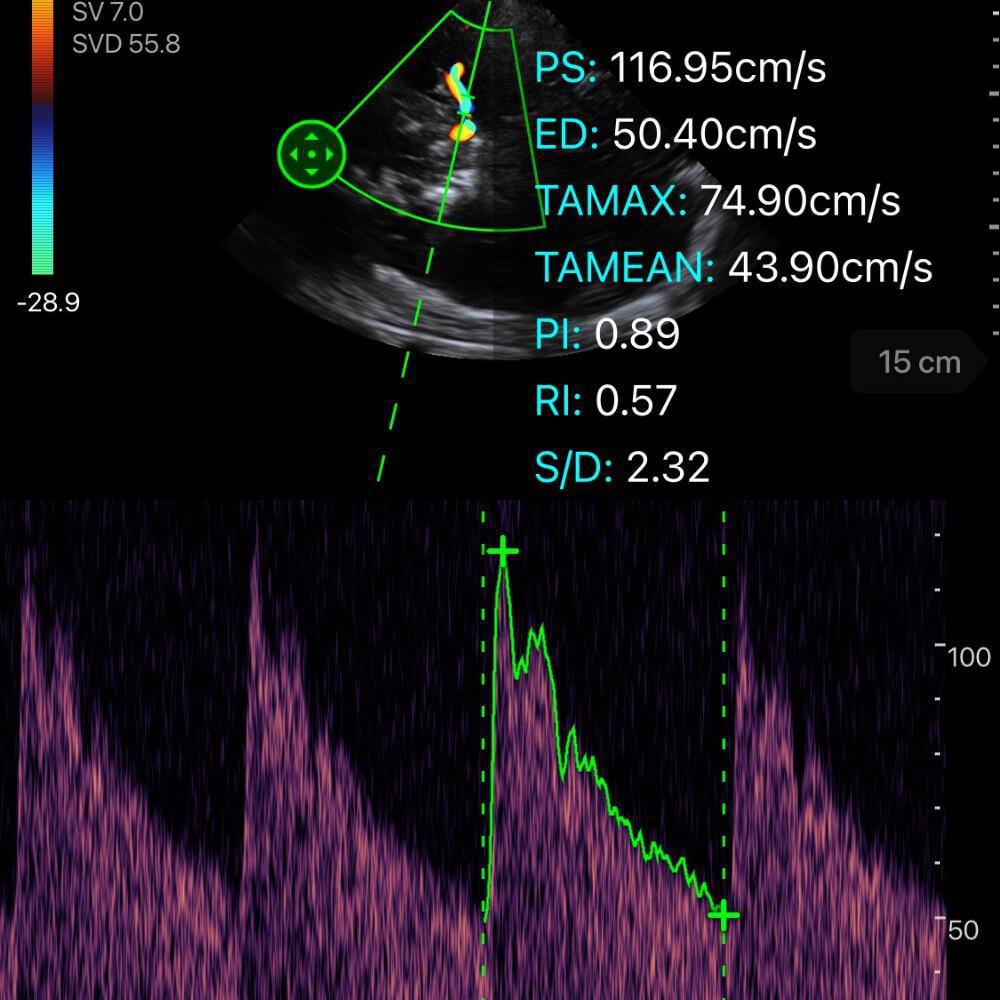
4️⃣ Positionnement du Doppler pulsé (PW)
Une fois l’ACM identifiée en couleur :
-
Activer le Doppler pulsé (PW).
-
Placer le volume d’échantillonnage au centre du vaisseau.
-
Ajuster l’angle pour être le plus parallèle possible au flux sanguin.
-
La majorité des appareils écho modernes font les calculs automatiques de VS, VD, VM et IP.
⚠️ Un angle mal aligné → sous-estimation des vitesses → interprétation erronée.
📈 Paramètres analysés
Sur le spectre Doppler :
-
VS = vitesse systolique
-
VD = vitesse diastolique (clé pour la PPC)
-
VM = vitesse moyenne
🔵 Index de pulsatilité (IP / PI)
Formule :
IP = (VS − VD) / VM
Valeur normale pratique :
IP ≤ 1
🔴 Profil hémodynamique en HTIC
Quand la PIC augmente :
-
VD diminue
-
VM diminue
-
IP augmente
-
Courbe devient très pulsatile
-
En phase extrême : disparition du flux diastolique
🚨 Seuils d’alerte pratiques en TCG
Profil suspect d’HTIC / hypoperfusion :
-
VM < 30 cm/s
-
VD < 20 cm/s
-
IP > 1,4
Profil rassurant (forte VPN pour HTIC) :
-
VD > 25 cm/s
-
IP < 1,25
⚠️ Toujours interpréter dans le contexte hémodynamique global.
💉 Implications thérapeutiques en urgence
Si profil d’hypoperfusion cérébrale :
➡️ Optimiser la PPC
-
Augmenter PAM si nécessaire
-
Corriger hypotension
-
Adapter ventilation (PaCO₂)
-
Discuter osmothérapie en cas de profil HTIC et clinique en faveur
Le DTC permet de :
-
Vérifier la réponse après traitement
-
Détecter une aggravation avant signes cliniques
⚠️ Pièges majeurs
La difficulté technique est souvent grossièrement sous-estimée.
Encore plus :
-
En ambulance en roulant
-
Chez un patient agité
-
En SAUV chez un patient instable
Une acquisition imparfaite, mauvais angle, mauvais signal → mauvaise interprétation → décision thérapeutique dangereuse.
Un DTC isolé n’est jamais suffisant.
Résumé vidéo ⬇️

