Vue cardiaque



Voir le cœur avant qu’il ne s’arrête


🎯 Objectif

La vue cardiaque de l’eFAST répond à deux questions vitales :

  1. 👉 Y a-t-il un épanchement péricardique ?

  2. 👉 Y a-t-il des signes de tamponnade ?


🧰 Sonde & réglages

  • Idéalement sonde cardiaque

  • Sonde convexe possible si une seule sonde utilisée

  • Profondeur adaptée pour visualiser tout le cœur

  • Mode B


🧍 Position

  • Patient en décubitus dorsal

  • Exploration rapide (< 30 secondes)


📍 Fenêtres possibles

🔹 Sous-xiphoïdienne (préférée en trauma)

  • Sonde sous l’appendice xiphoïde

  • Orientation vers l’épaule gauche

🔹 Parasternale grand axe

  • Alternative si fenêtre sous-xiphoïdienne difficile


🔎 Interprétation

🟢 Normal

  • Pas de liquide péricardique visible

  • Cavités mobiles + bonne cinétique globale

GIF animation 


🔴 Épanchement péricardique

  • Image anéchogène entourant le cœur

  • Visible entre le myocarde et le péricarde


🚨 Signes de tamponnade

  • Collapsus diastolique du VD

  • Compression de l’OD

  • Contexte d’instabilité hémodynamique

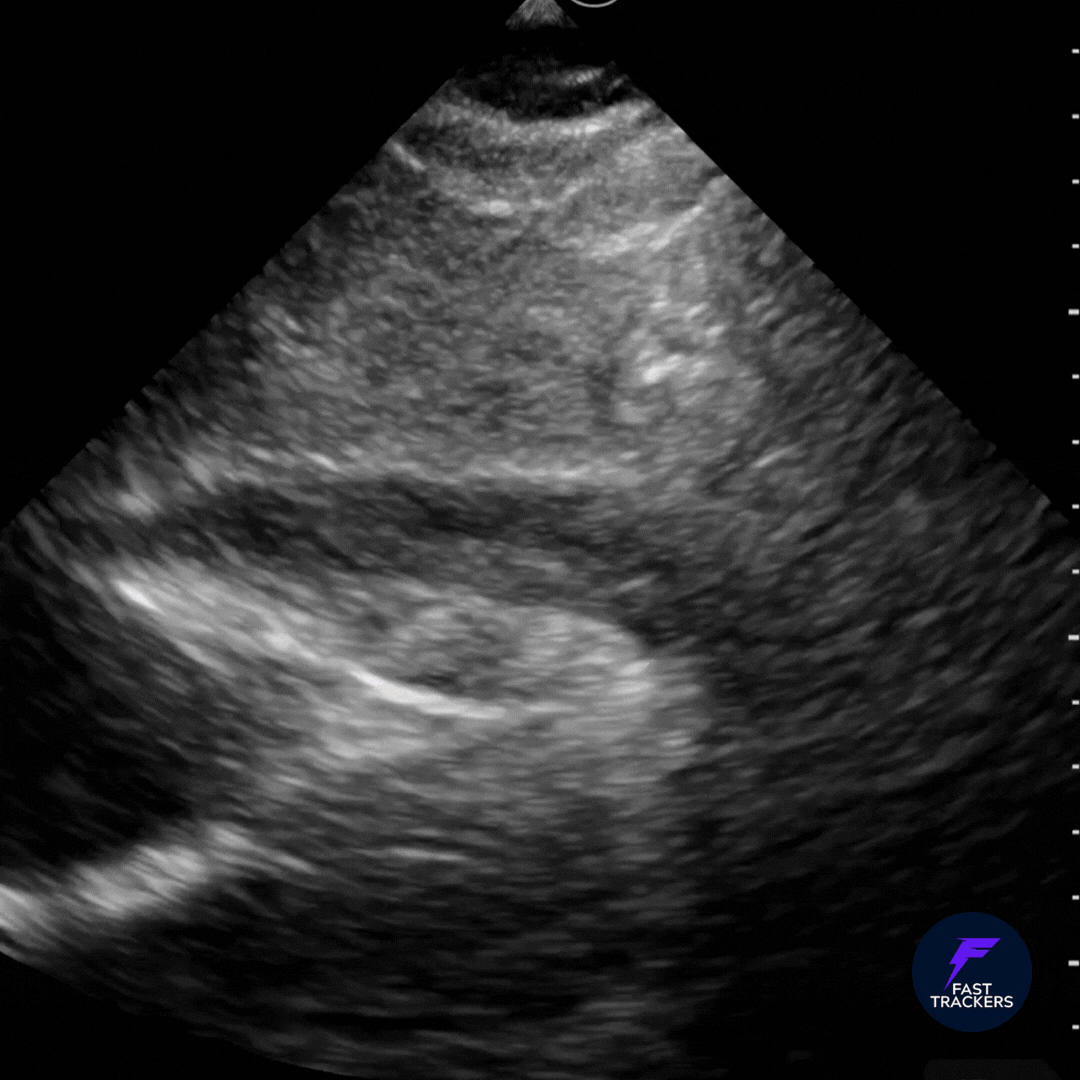
GIF animation

Noter le collapsus des cavités droites témoignant d'une tamponnade.


🚨 Impact clinique

  • Épanchement + instabilité ou ACR → péricardiocentèse urgente

  • Examen normal → poursuivre l’eFAST


⚠️ Points clés & pièges

  • Faux positif : graisse péricardique

  • Fenêtre sous-xiphoïdienne médiocre chez obèse

  • Petit épanchement ≠ tamponnade

  • Ne pas confondre épanchement pléural gauche et épanchement péricardique