"Vascular Ultrasound," Heart and Vascular Consultants, Michigan. Available at: https://www.hvchealth.com/vascular-ultrasound [accessed October 14, 2025].
🎯 Objectif
Maîtriser l’échographie vasculaire pour :
- évaluer la perméabilité et la compressibilité des veines,
- explorer la circulation artérielle et le débit périphérique,
- guider les ponctions et cathétérismes en toute sécurité,
- détecter précocement les thromboses, dissections ou hématomes.
⚙️ But clinique : faire de l’échographie un prolongement du geste vasculaire, en remplaçant la palpation par la visualisation.
🧰 Sonde et Réglages
- Sonde linéaire haute fréquence (7–15 MHz) pour les veines et artères superficielles.
- Sonde convexe (2–5 MHz) pour les gros vaisseaux profonds (VCI, iliaques).
- Préréglage : Vascular / Venous / Arterial selon le mode choisi.
- Profondeur : 2 à 5 cm pour les membres, jusqu’à 20 cm pour les axes centraux.
- Gain moyen, foyer centré sur la lumière du vaisseau.
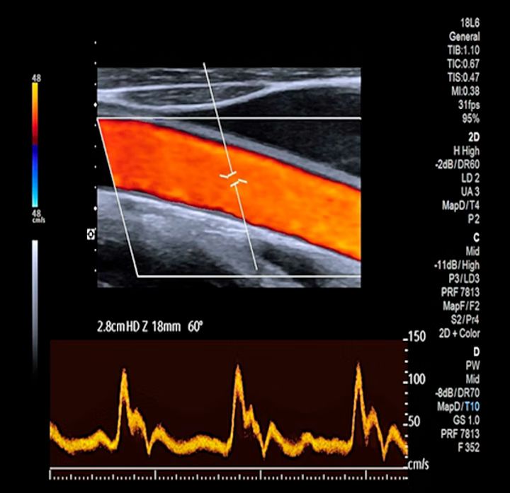
💡 En Doppler, régler l’échelle de vitesse : 10–25 cm/s pour le flux veineux, 50–100 cm/s pour l’artériel.
🧠 Principes de Base
Une veine normale est compressible, non pulsatile, à flux lent ;
une artère est pulsatile, non compressible, à paroi épaisse.
👉 La règle d’or : “Si ça ne s’écrase pas, c’est pathologique.”
Les trois gestes fondamentaux :
1️⃣ Compression douce : disparition complète = veine libre.
2️⃣ Color Doppler : remplissage homogène, absence de turbulence.
3️⃣ Spectral Doppler : profil phasique = flux veineux sain, triphasique = flux artériel normal.
⚙️ Préparation du Patient
Patient en position détendue, membre soutenu et légèrement déclive.
Éviter les rotations ou hyperextensions qui compriment les axes.
Utiliser beaucoup de gel : la moindre pression fausse la lecture.
🩺 Intégration Clinique
En médecine d’urgence, l’échographie vasculaire s’intègre dans :
- la recherche de thrombose veineuse profonde (TVP),
- la pose de lignes veineuses ou artérielles,
- le diagnostic de choc obstructif (EP, tamponnade),
- la surveillance des complications de cathéters.
⚠️ Erreurs Fréquentes
- Appuyer trop fort : faux négatif.
- Confondre artère et veine : vérifier la compressibilité.
- Trop de gain : efface les parois.
- Oublier le Doppler : une lumière “noire” n’est pas forcément thrombosée.
💬 Conclusion
L’échographie vasculaire est un geste fondamental, rapide, non invasif et orientant immédiatement la prise en charge.
Chaque pression de la sonde est une palpation visuelle.
⚡ À retenir : une veine se comprime, un vaisseau sain coule, un geste guidé sauve.

