Repères échographiques en pathologie pulmonaire.
🎯 Objectif
Identifier et différencier les aspects échographiques caractéristiques des principales atteintes pulmonaires aiguës :
- Syndrome interstitiel (lignes B) → excès de liquide ou épaississement interstitiel.
- Consolidation alvéolaire → comblement par liquide ou inflammation (poumon « hépatiforme »).
- Épanchement pleural → liquide dans l’espace pleural.
- Pneumothorax → air dans l’espace pleural (absence de glissement, pas de lignes B).
💧 Syndrome interstitiel (lignes B)
Présence d’au moins trois lignes B par espace intercostal, s’étendant jusqu’au fond de l’écran, effaçant les lignes A et se déplaçant avec le glissement pleural.
Répartition et étiologies
- Diffus, bilatéral et symétrique (antérieur, latéral, postérieur) : le plus souvent œdème pulmonaire d’origine cardiaque.
- Par plaques ou localisé : pneumonie, contusion, syndrome de détresse respiratoire aiguë.
- Prédominance basale dépendante : œdème interstitiel débutant.
- Diffus avec zones épargnées et plèvre irrégulière : SDRA ou fibrose pulmonaire.
Quantification pratique
- < 3 par champ : aspect normale (surtout aux bases).
- ≥ 3 par champ et diffusion bilatérale : syndrome interstitiel.
- Confluence des lignes (aspect de “poumon blanc”) : inondation alvéolaire ou SDRA.
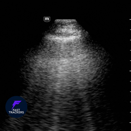
Lignes B pathologiques. Ce GIF montre la présence de nombreuses lignes B (plus de 3 par espace intercostal). Ces artéfacts verticaux, "en queue de comète", partent de la ligne pleurale et s'étendent jusqu'au bas de l'écran sans s'atténuer, effaçant les lignes A. Ils signent une perte d'aération pulmonaire
🫁 Consolidation (syndrome alvéolaire)
Substitution de l’air alvéolaire par du liquide ou de l’inflammation : le parenchyme prend un aspect tissulaire (« hépatiforme »).
Signes échographiques
- Aspect tissulaire : zone échogène, granuleuse, proche de l’aspect du foie.
- Bronchogrammes aériques : air circulant dans les bronches visibles au sein d’une condensation.
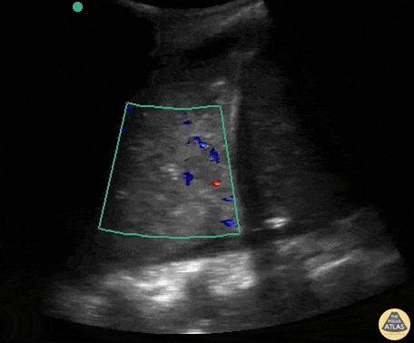
- Bronchogrammes dynamiques : signal Doppler couleur avec la respiration → pneumonie (voies aériennes perméables).
- Bronchogrammes statiques : immobiles → atélectasie (obstruction bronchique).
- Poumon “déchiqueté” : limite irrégulière entre le poumon aéré et la consolidation.
- Épanchement pleural associé fréquent, souvent visualisé comme une lame anéchogène au-dessus du diaphragme.
Étiologies courantes – Pneumonie, atélectasie, aspiration, contusion pulmonaire.
⬅️ ➡️ Faites défiler les coupes:
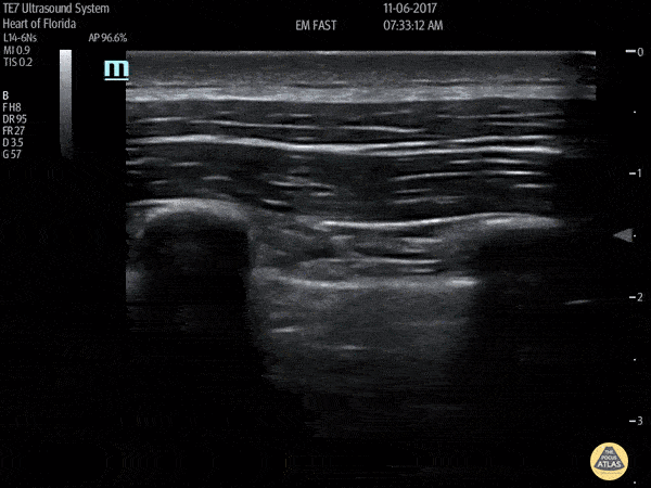
🌊 Épanchement pleural
Accumulation de liquide entre les plèvres – pariétale et viscérale.
Signes échographiques
- Espace anéchogène ou hypoéchogène entre la base pulmonaire et le diaphragme.
- Signe de la colonne vertébrale visible au-dessus du diaphragme grâce à la conduction du son par le liquide.
- Poumon collabé flottant dans le liquide (« signe de la méduse »).
Caractère du liquide
- Anechogène : transsudat simple.
- Complexe ou cloisonné : exsudat ou empyème.
- Échogène : hémothorax.
⬅️ ➡️ Faites défiler les coupes:
Quantification de l'epanchement – formule de Balik
-
Installer le patient en décubitus dorsal (ou demi-assis si possible à 15°).
-
Utiliser une sonde convexe.
-
Se placer en ligne axillaire postérieure, coupe longitudinale.
-
Identifier l’épanchement (zone anéchogène entre poumon et paroi).
-
Mesurer la distance maximale entre la plèvre pariétale et la plèvre viscérale (en mm ou cm), en expiration.
Règle pratique
- Volume (mL) ≈ distance interpleurale (mm) × 20 (ou distance en cm × 200)
Repères cliniques utiles
-
< 10 mm : petit épanchement → surveillance le plus souvent.
-
10–20 mm : modéré → discuter ponction selon symptômes.
-
> 20–25 mm : significatif → ponction/drainage à envisager si dyspnée ou infection suspectée.
![]()
distance maximale entre la plèvre pariétale et la plèvre viscérale.
🌪️ Pneumothorax
L’air sépare la plèvre viscérale de la pariétale.
Signes échographiques
- Absence de glissement pleural : ligne pleurale statique.
- Absence de lignes B, lignes A prédominantes.
- Mode M : « signe du code barre » (lignes horizontales parallèles au-dessus et au-dessous de la plèvre, sans granulation).
- Point poumon : zone de transition entre glissement présent et absent → signe spécifique de pneumothorax.
Explorer en priorité les régions antérieures et supérieures, car l’air remonte → Chez un patient allongé, commencer par les zones antérieures.
Pièges
- Apnée ou intubation sélective : relancer la ventilation et réévaluer.
- Adhérences pleurales : comparer d’autres zones.
- Emphysème sous-cutané : déplacer la sonde et renforcer le contact.
⬅️ ➡️ Faites défiler les coupes:
🩺 Conclusion
Les aspects échographiques pathologiques du poumon se résument à quatre grands profils :
- Lignes B diffuses → surcharge interstitielle ou œdème.
- Aspect tissulaire → condensation ou atélectasie.
- Espace anéchogène → épanchement pleural.
- Perte de glissement et lignes A seules → pneumothorax.
La combinaison des signes statiques et dynamiques, observés sur plusieurs zones et interprétés dans le contexte clinique, permet une évaluation rapide et fiable de la pathologie respiratoire aiguë.

