Aspects physiologiques



Bases échographiques du poumon sain.

 


🎯 Objectif

Reconnaître les images échographiques normales du poumon aéré et comprendre les artefacts caractéristiques : les lignes A, les lignes B, le glissement pleural et les signes dynamiques au mode M (signe du bord de mer).

➜ Le but est de savoir distinguer un poumon normalement ventilé d’un poumon pathologique en s’appuyant sur l’analyse des artefacts.



🩻 Le Poumon Normalement Aéré

Le poumon sain ne se visualise pas directement, mais produit des artefacts caractéristiques dus à la réflexion des ultrasons sur l’air alvéolaire.

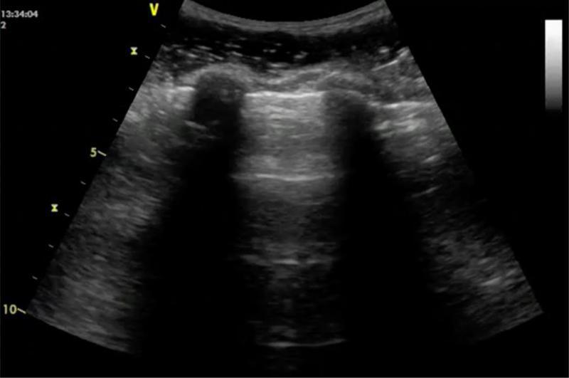
Vue typique

  • Sonde : convexe, linéaire ou cardiaque.
  • Orientation : longitudinale, entre deux côtes, ou transversale.
  • Repère : ligne pleurale hyperéchogène, horizontale, située à 0,5–2 cm sous la peau.


✅ Signes normaux

  • Ligne pleurale : fine bande hyperéchogène horizontale, régulière.
  • Glissement pleural : scintillement horizontal rythmique au fil de la respiration.
  • Lignes A : artefacts horizontaux parallèles, équidistants, répétés sous la plèvre.
  • Lignes B isolées (≤ 2–3 par champ) : artefacts verticaux fins, mobiles, atteignant le fond de l’écran.
💡
Glissement + lignes A = poumon ventilé, sain et non collabé.


🧐 Le profil A (poumon normal)

Les lignes A sont des réverbérations horizontales répétées, parallèles à la plèvre.

Elles s’estompent progressivement avec la profondeur.

Origine – Ces artefacts sont dus à la réflexion répétée des ultrasons entre la plèvre et la sonde, à l’interface air–tissu.

Interprétation – La présence de lignes A indique un poumon bien aéré, sans surcharge interstitielle ni condensation.

🧠
A comme Air : un profil A pulmonaire traduit une ventilation normale.

GIF animation

Lignes A + glissement pleural. © POCUS Atlas



💧 Le profil B (physiologique)

Les lignes B sont des artefacts verticaux fins, brillants, qui partent de la ligne pleurale et atteignent le fond de l’écran en effaçant les lignes A. 

Elles bougent au rythme du glissement pleural et ressemblent à des faisceaux lumineux de projecteurs au plafond.

Forme normale

  • Peu nombreuses (1 à 3 max par champ).
  • Situées surtout dans les zones déclives (bases pulmonaires) – plus fréquemment observées chez les personnes âgées.
  • Mobiles et fines.


Rappel : jusqu'à 3 lignes B par champ = physiologique. +3 lignes = pathologique.


↔️ Le Glissement Pleural

La plèvre apparaît comme une ligne brillante mobile : son mouvement horizontal régulier signe l’accolement de la plèvre viscérale et pariétale.

Signification

  • Présent : plèvres accolées, ventilation normale, absence de pneumothorax.
  • Absent : pneumothorax possible, atélectasie, apnée, ventilation sélective, adhérences pleurales, ou fibrose.

💡
En cas de doute, le mode M peut confirmer le mouvement pleural.


📈 Les Signes Dynamiques au Mode M

Le mode M (temps-mouvement) permet de visualiser les mouvements pleuraux dans le temps.

Signe du « bord de mer »

  • Aspect de vagues horizontales au-dessus de la plèvre (paroi) et de texture granuleuse en dessous (poumon en mouvement).
  • Indique un glissement pleural présent → poumon ventilé.



⚠️ Pièges Fréquents et Erreurs d’Interprétation

  • Absence de glissement liée à l’apnée : le patient ne respire pas → vérifier la ventilation avant de conclure à un pneumothorax.
  • Lignes B isolées : peuvent être physiologiques, surtout aux bases, chez les personnes âgées (max. 3/champ).
  • Fausse ligne A : artefact pariétal ou musculaire → vérifier sur plusieurs zones.
  • Absence d’artefacts visible : réglage inadéquat (gain ou profondeur).
  • Profondeur trop faible : risque de ne pas visualiser les lignes B profondes.


🔍 Intégration Clinique

L’analyse échographique doit combiner les artefacts et le mouvement :

  • Glissement pleural → plèvres accolées.
  • Lignes A → poumon aéré.
  • Lignes B → surcharge liquidienne interstitielle si >3/champ.
  • Signe du « bord de mer » → mouvement respiratoire normal.

💡
Un diagnostic fiable repose sur la corrélation des signes statiques et dynamiques, observés sur plusieurs zones et toujours replacés dans le contexte clinique.


💬 Résumé essentiel

  • Lignes horizontales = air.
  • Lignes verticales = eau.
  • Glissement ou signe du « bord de mer »  = plèvres accolées.